Skip to main page content
U.S. flag

An official website of the United States government

Dot gov

The .gov means it’s official.
Federal government websites often end in .gov or .mil. Before sharing sensitive information, make sure you’re on a federal government site.

Https

The site is secure.
The https:// ensures that you are connecting to the official website and that any information you provide is encrypted and transmitted securely.

Access keys NCBI Homepage MyNCBI Homepage Main Content Main Navigation
. 2025 Apr 23;25(100):20250010.
doi: 10.15557/jou.2025.0010. eCollection 2025 Jan.

Two-dimensional shear wave elastography for assessing liver, spleen, and kidneys in healthy newborns

Affiliations

Two-dimensional shear wave elastography for assessing liver, spleen, and kidneys in healthy newborns

Grzegorz Postek et al. J Ultrason. .

Abstract

Aim: The aim of the study was to obtain two-dimensional shear wave elastography measurements of the liver, spleen and kidneys in healthy full-term newborns, as well as to assess its feasibility in this age group.

Materials and methods: We performed two-dimensional shear wave elastography of the liver, spleen and kidneys using a linear transducer at least 60 minutes after food intake in a group of 58 healthy, full-term, spontaneously breathing newborns. A series of 5 measurements using 5-mm-diameter regions of interest were performed, with the results expressed in m/s and kPa. Exam feasibility was assessed using the IQR/Median ratio as ≤30% for kPa, and ≤15% for m/s. Descriptive statistics, Shapiro-Wilk W, Levene's, Mann-Whitney U tests and Spearman correlation analysis were used for statistical assessment.

Results: The feasibility of the exam was 68.97% for the right liver lobe, 67.24% for the left lobe, 91.07% for the spleen, 89.29% for the right kidney, 85.71% for the left kidney. Mean results: right liver lobe: 1.43 m/s, SD ±0.11, 6.04 kPa, SD ±0.97, left liver lobe: 1.41 m/s, SD ±0.12, 5.86 kPa, SD ±1.02, spleen: 2.36 m/s, SD ±0.21, 16.99 kPa, SD ±3.21, right kidney: 1.92 m/s, SD ±0.18, 11.34 kPa, SD ±3.21, left kidney: 1.88 m/s, SD ±0.16, 10.81 kPa, SD ±1.80. The splenic-hepatic elastography index for m/s and kPa results was as follows: mean 1.65, SD ±0.20, mean 2.82, SD ±0.73, respectively. No differences were found between the right vs left lobe of the liver, or the right vs left kidney; there was no correlation between the measurements and gender or food intake interval >60 minutes. A positive correlation was found between the results for the right and left lobe of the liver and age, and the results for the left lobe of the liver and body weight.

Conclusions: Two-dimensional shear wave elastography of the liver, spleen and kidneys can be successfully performed in healthy neonates. We obtained reliable mean shear wave elastography values for the examined organs.

Keywords: 2D-SWE elastography; kidney elasticity; liver elasticity; newborn; spleen elasticity.

PubMed Disclaimer

Conflict of interest statement

Conflict of interest The authors do not report any financial or personal connections with other persons or organizations which might negatively affect the contents of this publication and/or claim authorship rights to this publication.

Figures

Fig. 1.
Fig. 1.
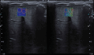
An exemplary SWE measurement of the right liver lobe with a color-coded map and a wave propagation map, two ROIs are marked
Fig. 2.
Fig. 2.
An exemplary SWE measurement of the left liver lobe with a color-coded map and a wave propagation map, two ROIs are marked
Fig. 3.
Fig. 3.
An exemplary spleen elasticity measurement, with a color-coded and a wave propagation map, two ROIs are marked
Fig. 4.
Fig. 4.
An exemplary right kidney elasticity measurement. ROI covering renal parenchyma (cortex and pyramid), excluding calyceal and renal pelvic lumens
Fig. 5.
Fig. 5.
Liver. Comparison of SWE measurements for the right vs left lobe (m/s), p = 0.48
Fig. 6.
Fig. 6.
Liver. Comparison of SWE measurements for the right vs left lobe (kPa), p = 0.44
Fig. 7.
Fig. 7.
Comparison of SWE measurements for the right vs left kidney (m/s), p = 0.22
Fig. 8.
Fig. 8.
Comparison of SWE measurements for the right vs left kidney (kPa), p = 0.26
Fig. 9.
Fig. 9.
Principles for hepatic and splenic SWE, including the differences in the pediatric population

References

    1. Sigrist RMS, Liau J, Kaffas A El, Chammas MC, Willmann JK. Ultrasound elastography: Review of techniques and clinical applications. Theranostics. 2017;7:1303–1329. doi: 10.7150/thno.18650. - DOI - PMC - PubMed
    1. Dietrich CF, Ferraioli G, Sirli R, Popescu A, Sporea I, Pienar C. et al. General advice in ultrasound based elastography of pediatric patients. Med Ultrason. 2019;21:316–326. doi: 10.11152/mu-2063. - DOI - PubMed
    1. Gennisson JL, Deffieux T, Fink M, Tanter M. Ultrasound elastography: principles and techniques. Diagn Interv Imaging. 2013;94:487–495. doi: 10.1016/j.diii.2013.01.022. - DOI - PubMed
    1. Frulio N, Trillaud H. Ultrasound elastography in liver. Diagn Interv Imaging. 2013;94:515–534. doi: 10.1016/j.diii.2013.02.005. - DOI - PubMed
    1. O'Hara S, Zelesco M, Rocke K, Stevenson G, Sun Z. Reliability Indicators for 2-Dimensional Shear Wave Elastography. J Ultrasound Med. 2019;38:3065–3071. doi: 10.1002/jum.14984. - DOI - PubMed

LinkOut - more resources