Tropheryma whipplei Infections, Mexico, 2019-2021
- PMID: 40305382
- PMCID: PMC12044244
- DOI: 10.3201/eid3105.241046
Tropheryma whipplei Infections, Mexico, 2019-2021
Abstract
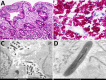
Whipple's disease is rarely diagnosed in Latin America. We describe 2 patients with Tropheryma whipplei infection diagnosed in Mexico during 2019-2021. Diagnoses were confirmed by histopathology, electron microscopy, immunohistochemistry, and DNA amplification and sequencing analysis of the 16S rRNA gene. Clinicians should be aware of T. whipplei infection and associated syndromes.
Keywords: Mexico; Tropheryma whipplei; Whipple’s disease; bacteria; enteric infections.
Figures


References
-
- Whipple GH. A hitherto undescribed disease characterized anatomically by deposits of fat and fatty acids in the intestinal and mesenteric lymphatic tissues. Bull Johns Hopkins Hosp. 1907;18:382–93.
-
- Paddock CD, Fenollar F, Lagier JC, Raoult DA. 21st Century appraisal of Whipple’s disease and Tropheryma whipplei. Clin Microbiol Newsl. 2022;44:123–9. 10.1016/j.clinmicnews.2022.07.001 - DOI
Publication types
MeSH terms
Substances
LinkOut - more resources
Full Text Sources