Skip to main page content
U.S. flag

An official website of the United States government

Dot gov

The .gov means it’s official.
Federal government websites often end in .gov or .mil. Before sharing sensitive information, make sure you’re on a federal government site.

Https

The site is secure.
The https:// ensures that you are connecting to the official website and that any information you provide is encrypted and transmitted securely.

Access keys NCBI Homepage MyNCBI Homepage Main Content Main Navigation
. 2025 May 6;13(5):e6836.
doi: 10.1097/GOX.0000000000006836. eCollection 2025 May.

Evaluation of Non-cross-linked Hyaluronic Acid on Oral Wound Healing After Diode Laser and Scalpel Incisions

Affiliations

Evaluation of Non-cross-linked Hyaluronic Acid on Oral Wound Healing After Diode Laser and Scalpel Incisions

Noury Adel et al. Plast Reconstr Surg Glob Open. .

Abstract

Background: The aim was to assess the impact of non-cross-linked hyaluronic acid (HA) injections on the healing of intraoral wounds from 3 types of incisions.

Methods: A total of 36 Wister albino rats were included in this research. The rats were randomly assigned to 1 of 6 groups: the first group underwent a scalpel incision in the buccal mucosa with HA injection. The second group received a laser incision using a 976-nm diode laser with HA injection, whereas the third group was subjected to a laser incision with a 450-nm diode laser with HA injection. The fourth group underwent scalpel incision only, the fifth group received a 976-nm laser incision only, and the sixth group received a 450-nm laser incision only. Biopsies were collected at baseline, as well as on the third and seventh days, to assess wound healing using hematoxylin and eosin and Masson trichrome staining.

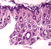
Results: Group 3 exhibited the most pronounced results on the third and seventh days after surgery, with collagen formation noted alongside well-organized granulation tissue that contributed to improved and expedited wound healing.

Conclusions: In this low-volume experimental study, HA injections in wounds made with a 450-nm diode laser demonstrated encouraging outcomes, enhancing the healing process and resulting in quicker recovery.

PubMed Disclaimer

Conflict of interest statement

The authors have no financial interest to declare in relation to the content of this article. Disclosure statements are at the end of this article, following the correspondence information.

Figures

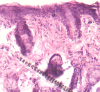
Fig. 1.
Fig. 1.
H&E stain for group 1 (seventh-day sample).
Fig. 2.
Fig. 2.
H&E stain for group 2 (seventh-day sample).
Fig. 3.
Fig. 3.
H&E stain for group 3 (seventh-day sample).
Fig. 4.
Fig. 4.
H&E stain for group 4 (seventh-day sample).
Fig. 5.
Fig. 5.
H&E stain for group 5 (seventh-day sample).
Fig. 6.
Fig. 6.
H&E stain for group 6 (seventh-day sample).
Fig. 7.
Fig. 7.
MT stain for group 1 (seventh-day sample).
Fig. 8.
Fig. 8.
MT stain for group 2 (seventh-day sample).
Fig. 9.
Fig. 9.
MT stain for group 3 (seventh-day sample).
Fig. 10.
Fig. 10.
MT stain for group 4 (seventh-day sample).
Fig. 11.
Fig. 11.
MT stain for group 5 (seventh-day sample).
Fig. 12.
Fig. 12.
MT stain for group 6 (seventh-day sample).
Fig. 13.
Fig. 13.
Bar chart showing average collagen fiber for different groups at each time.

References

    1. Dudding T, Haworth S, Lind PA, et al. ; 23andMe Research Team. Genome wide analysis for mouth ulcers identifies associations at immune regulatory loci. Nat Commun. 2019;10:1052. - PMC - PubMed
    1. Petersen PE, Bourgeois D, Ogawa H, et al. The global burden of oral diseases and risks to oral health. Bull World Health Organ. 2005;83:661–669. - PMC - PubMed
    1. Toma AI, Fuller JM, Willett NJ, et al. Oral wound healing models and emerging regenerative therapies. Transl Res. 2021;236:17–34. - PMC - PubMed
    1. Lamont RJ, Koo H, Hajishengallis G. The oral microbiota: dynamic communities and host interactions. Nat Rev Microbiol. 2018;16:745–759. - PMC - PubMed
    1. Hearnden V, Sankar V, Hull K, et al. New developments and opportunities in oral mucosal drug delivery for local and systemic disease. Adv Drug Deliv Rev. 2012;64:16–28. - PubMed

LinkOut - more resources