Atypical Presentation of an LMNB1 Duplication Involving the Silencer Region: Beyond Classical Autosomal-Dominant Leukodystrophy
- PMID: 40343075
- PMCID: PMC12060790
- DOI: 10.1212/NXG.0000000000200261
Atypical Presentation of an LMNB1 Duplication Involving the Silencer Region: Beyond Classical Autosomal-Dominant Leukodystrophy
Abstract
Objectives: The aim of this study was to characterize the clinical, genetic, and radiologic presentation of a patient with LMNB1 gene duplication, including the duplication of the silencer region.
Methods: A patient who presented with muscle stiffness and constipation underwent comprehensive clinical and imaging evaluations, followed by next-generation whole-genome sequencing and optical genome mapping. In the subsequent year, the proband reported additional symptoms of muscle spasms, difficulty of relaxation of the anal sphincter, and stiffness in movements.
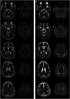
Results: MRI of the brain demonstrated mild diffuse white matter hyperintensities bilaterally. Analysis of optical genome mapping data revealed a 275.54-kb tandem duplication at 5q23.2 [NC_000005.10:g.126637655_126913191dup] comprising 4 genes including the LMNB1 gene.
Discussion: We identified a 69-year-old patient with an LMNB1 duplication who presented with a milder phenotype compared with typical LMNB1-related autosomal-dominant leukodystrophy. The symptoms included dysautonomia and muscle stiffness. This distinct presentation is likely attributable to the duplication of the silencer region of LMNB1, which may contribute to the milder symptoms observed.
Copyright © 2025 The Author(s). Published by Wolters Kluwer Health, Inc. on behalf of the American Academy of Neurology.
Conflict of interest statement
The authors report no relevant disclosures. Go to Neurology.org/NG for full disclosures.
Figures


References
-
- Raili Raininko MG, Padiath QS. LMNB1-Related Autosomal Dominant Leukodystrophy. NCBI; 2016. - PubMed
LinkOut - more resources
Full Text Sources
Research Materials