Mandibular Odontogenic Fibromyxoma: A Case Report of Clinical and Radiographic Presentations
- PMID: 40351933
- PMCID: PMC12065976
- DOI: 10.7759/cureus.81981
Mandibular Odontogenic Fibromyxoma: A Case Report of Clinical and Radiographic Presentations
Abstract
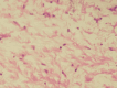
Odontogenic fibromyxoma (OFM) is an uncommon benign neoplasm originating from the odontogenic ectomesenchyme. It exhibits a slow-growing yet locally aggressive behavior, most frequently presenting in young adults, although it can occur at any age and shows no significant gender predilection. Despite its clinical relevance, current research provides limited information regarding the risk factors, causative agents, and molecular pathways that contribute to its development and aggressive behavior. We present a case of OFM located in the mandible of a 38-year-old African male who reported a painless swelling in the right mandible extending from the first premolar to the second premolar. The clinical examination revealed a limited, firm, painless vestibular swelling in the region of teeth 44 and 45. The affected teeth exhibited normal vitality and physiological mobility. Radiographic imaging demonstrated a multilocular radiolucency with a "soap bubble" appearance, without evidence of root resorption. Histopathological analysis confirmed the diagnosis of odontogenic fibromyxoma, showing a proliferation of fibroblasts and myofibroblasts within a loose, myxomatous stroma rich in acid mucopolysaccharides, with scattered stellate cells displaying minimal pleomorphism. This case underscores the importance of a comprehensive diagnostic approach that integrates clinical, radiological, and histopathological findings to accurately identify OFM and distinguish it from other similar jaw lesions. Although conservative treatments such as enucleation with curettage offer notable benefits, the ideal surgical approach and follow-up protocol remain subjects of ongoing investigation. A more profound understanding of OFM's underlying pathogenesis could lead to improved treatment outcomes and guide future research on targeted therapeutic strategies.
Keywords: benign jaw lesion; mandible; myxofibroma; odontogenic fibromyxoma; odontology.
Copyright © 2025, Boukssim et al.
Conflict of interest statement
Human subjects: Consent for treatment and open access publication was obtained or waived by all participants in this study. Conflicts of interest: In compliance with the ICMJE uniform disclosure form, all authors declare the following: Payment/services info: All authors have declared that no financial support was received from any organization for the submitted work. Financial relationships: All authors have declared that they have no financial relationships at present or within the previous three years with any organizations that might have an interest in the submitted work. Other relationships: All authors have declared that there are no other relationships or activities that could appear to have influenced the submitted work.
Figures





References
-
- Pediatric odontogenic tumors. Abrahams JM, McClure SA. Oral Maxillofac Surg Clin North Am. 2016;28:45–58. - PubMed
-
- Odontogenic myxoma: systematic review and bias analysis. Dotta JH, Miotto LN, Spin-Neto R, Ferrisse TM. Eur J Clin Invest. 2020;50:0. - PubMed
-
- Odontogenic myxoma: review of the literature and report of 30 cases from South Africa. Noffke CE, Raubenheimer EJ, Chabikuli NJ, Bouckaert MM. Oral Surg Oral Med Oral Pathol Oral Radiol Endod. 2007;104:101–109. - PubMed
-
- Fibromyxomas of the jawbones—a study of ten cases. Abiose BO, Ajagbe HA, Thomas O. Br J Oral Maxillofac Surg. 1987;25:415–421. - PubMed
Publication types
LinkOut - more resources
Full Text Sources