Skip to main page content
U.S. flag

An official website of the United States government

Dot gov

The .gov means it’s official.
Federal government websites often end in .gov or .mil. Before sharing sensitive information, make sure you’re on a federal government site.

Https

The site is secure.
The https:// ensures that you are connecting to the official website and that any information you provide is encrypted and transmitted securely.

Access keys NCBI Homepage MyNCBI Homepage Main Content Main Navigation
Case Reports
. 2025 Apr 12;17(4):e82134.
doi: 10.7759/cureus.82134. eCollection 2025 Apr.

A Curious Presentation of a Human Papillomavirus (HPV)-Driven Pelvic Squamous Cell Carcinoma of Unknown Primary: A Case Report

Affiliations
Case Reports

A Curious Presentation of a Human Papillomavirus (HPV)-Driven Pelvic Squamous Cell Carcinoma of Unknown Primary: A Case Report

Georgia E Dau et al. Cureus. .

Abstract

Cancers of unknown primary (CUP) are rare malignancies among invasive cancers and are comprised of a variety of subtypes. In the pelvis, occult squamous cell carcinoma (SCC) usually arises from the vulva, vagina, cervix, or anus. We present the case of a 55-year-old patient with pelvic pain. Magnetic resonance imaging showed a presacral and posterior lower uterine soft tissue mass measuring 6.7 x 5.0 x 6.2 cm with regional lymph node involvement. An exam under anesthesia and colonoscopy did not detect cervical or anal involvement. A biopsy of the mass confirmed poorly differentiated SCC, positive p16 staining on immunohistochemistry, and human papillomavirus (HPV+) RNA in-situ hybridization. The findings were most consistent with an atypical presentation of locally advanced cervical cancer. The patient received chemoradiation with volumetric modulated arc therapy. After four weeks of treatment with some tumor response, she received stereotactic body radiotherapy (SBRT) as the mass was not accessible for brachytherapy. The patient ultimately had a partial response with the shrinking tumor separating from the cervix. She was re-evaluated by a multidisciplinary team, and based on response and imaging, the tumor was most likely determined to originate from the anus. Colorectal surgery assumed care for definitive abdominal perineal resection. This case demonstrates the importance of continuous evaluation of the site of disease in patients with CUP and the avoidance of anchoring on a definitive diagnosis. Identification of the primary site may be impossible initially, but willingness to alter treatment as new information presents is essential to improve patient outcomes.

Keywords: carcinoma of unknown primary (cup); hpv-associated malignancy; human papillomavirus (hpv); occult carcinoma; scc of unknown primary; squamous cell carcinoma (scc); squamous cell rectal carcinoma.

PubMed Disclaimer

Conflict of interest statement

Human subjects: Consent for treatment and open access publication was obtained or waived by all participants in this study. Conflicts of interest: In compliance with the ICMJE uniform disclosure form, all authors declare the following: Payment/services info: All authors have declared that no financial support was received from any organization for the submitted work. Financial relationships: All authors have declared that they have no financial relationships at present or within the previous three years with any organizations that might have an interest in the submitted work. Other relationships: All authors have declared that there are no other relationships or activities that could appear to have influenced the submitted work.

Figures

Figure 1
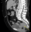
Figure 1. Sagittal CT showing heterogeneously enhancing presacral, posterior lower uterine soft tissue mass (yellow arrow) measuring 6.7 x 5.0 x 6.2 cm.
Figure 2
Figure 2. Sagittal MRI demonstrating dominant T2 pelvic mass (yellow arrow) with effect on surrounding structures.
MRI: magnetic resonance imaging
Figure 3
Figure 3. H&E stain demonstrating invasive groups of epithelioid, cohesive cells with high nuclear-to-cytoplasmic ratios, marked nuclear pleomorphism, and atypia with tumor cell necrosis.
H&E: hematoxylin and eosin
Figure 4
Figure 4. AE1/AE3 demonstrating membranous staining throughout the tumor cells, which supports the diagnosis of carcinoma.
Figure 5
Figure 5. P40 strongly stains the nuclei of tumor cells throughout, which is supportive of squamous differentiation.
Figure 6
Figure 6. Axial fused PET/CT image demonstrating a large presacral mass (yellow arrow) with concern for serosal bowel invasion.
PET/CT: positron emission tomography/computed tomography
Figure 7
Figure 7. Axial PET with RT planning overlay demonstrating dose (as color wash) from 30 Gy (in blue) to 47.6 Gy (red), which is the prescription dose to the pelvis, primary, and uterus.
RT: radiation tomography; PET: positron emission tomography
Figure 8
Figure 8. Axial PET with RT planning overlay demonstrating dose (as color wash) from 30 Gy (in blue) to 59.4 Gy (red), which is the prescription dose to the PET-positive lymph nodes.
RT: radiation tomography; PET: positron emission tomography
Figure 9
Figure 9. Two composite plans (A–C: F05-07 and D–F: F08-10) featuring axial (A, D), sagittal (C, F), and coronal (B, E) views of the SBRT plan with doses ranging from 2.7 Gy (blue) to 27.38 Gy (red) on the left and from 1.11 Gy (blue) to 11.13 Gy (red) on the right.
The left image shows the initial SBRT plan developed. Due to shrinkage in the patient's primary, three fractions of this plan were delivered before the second plan was developed. She, therefore, received two fractions of the plan demonstrated in the right image. SBRT: stereotactic body radiotherapy
Figure 10
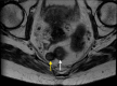
Figure 10. Axial MRI demonstrating a right perirectal T2 heterogeneous mass (yellow arrow) measuring 1.6 x 1.5 cm with T2 hypointense signal and T2 intermediate signal intensity with mild diffusion restriction and heterogeneous enhancement. The mass involves the right lateral rectal wall (white arrow).
MRI: magnetic resonance imaging
Figure 11
Figure 11. Axial fused PET/CT image demonstrating a right perirectal mass (yellow arrow) that is stable in size and has SUV=6.
PET/CT: positron emission tomography/computed tomography; SUV: standardized uptake value

References

    1. NCCN clinical practice guidelines occult primary. Ettinger DS, Agulnik M, Cates JM, et al. J Natl Compr Canc Netw. 2011;9:1358–1395. - PubMed
    1. Cancer of unknown primary: biological and clinical characteristics. Pavlidis N. Ann Oncol. 2003;14 Suppl 3:0–8. - PubMed
    1. Cancers linked with HPV each year. [ May; 2024 ]. 2024. https://www.cdc.gov/cancer/hpv/cases.html https://www.cdc.gov/cancer/hpv/cases.html
    1. Multiplex HPV RNA in situ hybridization/p16 immunohistochemistry: a novel approach to detect papillomavirus in HPV-related cancers. A novel multiplex ISH/IHC assay to detect HPV. Zito Marino F, Ronchi A, Stilo M, et al. Infect Agent Cancer. 2020;15:46. - PMC - PubMed
    1. NCCN Clinical Practice Guidelines in Oncology (NCCN Guidelines®) Cervical Cancer. Accessed. [ Jul; 2024 ]. https://www.nccn.org/professionals/physician_gls/pdf/cervical.pdf https://www.nccn.org/professionals/physician_gls/pdf/cervical.pdf

Publication types

LinkOut - more resources