Preoperative Diagnosis of an Esophageal Duplication Cyst by Endoscopic Ultrasound Examination
- PMID: 40361925
- PMCID: PMC12071751
- DOI: 10.3390/diagnostics15091107
Preoperative Diagnosis of an Esophageal Duplication Cyst by Endoscopic Ultrasound Examination
Abstract
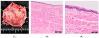
A 78-year-old woman was referred to our hospital for close examination of an extramural submucosal tumor in the gastroesophageal region, suspected based on an imaging test performed for a chief complaint of epicardial pain while eating. Contrast-enhanced computed tomography revealed a 3 cm sized mass with well-defined margins and a homogeneous interior near the gastroesophageal junction. Endoscopic ultrasonography (EUS) revealed a large (28 mm) unilocular cystic lesion with a heterogeneous hypoechoic internal structure. The cyst wall was layered with a hypoechoic layer that appeared to be muscular and continuous with the external longitudinal muscle of the esophagus. Based on the EUS findings, an esophageal duplication cyst was diagnosed. Cystectomy was performed because the patient was symptomatic. Pathological examination revealed that the specimen was covered with columnar and pseudostratified ciliated epithelium without atypia and that the cyst wall comprised two layers of smooth muscle. No cartilaginous tissue was present, which is consistent with esophageal duplication cysts. Retrospectively, the EUS findings were consistent with the pathological findings.
Keywords: esophageal cyst; esophageal neoplasms; esophagoscopy.
Conflict of interest statement
The authors declare no conflicts of interest.
Figures
 
              
              
              
              
                
                
                 
              
              
              
              
                
                
                References
LinkOut - more resources
- Full Text Sources
 
        