Severe gastrointestinal manifestations in childhood-onset lupus: A single-center cohort and review of the literature
- PMID: 40398633
- PMCID: PMC12123055
- DOI: 10.1177/09612033251345020
Severe gastrointestinal manifestations in childhood-onset lupus: A single-center cohort and review of the literature
Abstract
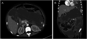
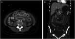
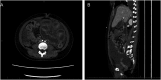
ObjectiveSystemic lupus erythematosus (SLE) is a complex autoimmune condition with diverse manifestations. Childhood-onset SLE (cSLE) presents more severely than adult-onset disease with a higher incidence of severe neurologic or renal manifestations and lower estimated survival rates. There is limited literature on the range of severe gastrointestinal manifestations at presentation in cSLE, and this lack of information results in underappreciation of these potentially life-threatening complications and little guidance regarding management of these patients.MethodsWe reviewed cases of patients with cSLE and severe GI manifestations at presentation diagnosed at our institution and additionally provide a comprehensive review of existing cases in the literature to discuss presenting symptoms, other clinical features, longitudinal course, treatment, and long-term outcomes.ResultsWe identified six cases of cSLE with primary, severe GI symptoms at time of diagnosis at our institution and an additional 25 patients who presented similarly in the literature. Severe GI manifestations included protein-losing enteropathy, thoracoabdominal aortitis, severe pancreatitis, lupus enteritis or mesenteric vasculitis, and intestinal pseudo-obstruction. Delays in diagnosis affected several patients, and 26% of patients required surgical intervention. Many patients required intensive immunomodulatory treatment in addition to prolonged bowel rest and parenteral nutrition. Long-term outcomes of GI manifestations varied overall, however, most patients at our institution achieved clinical remission.ConclusionsUnderstanding these rare cases of severe GI manifestations in cSLE can aid clinicians in prompt diagnosis and collaborative management, improving clinical outcomes for this vulnerable population.
Keywords: Protein-losing enteropathy; enteritis; intestinal pseudo-obstruction; pancreatitis; thoracoabdominal aortitis.
Conflict of interest statement
Declaration of conflicting interestsThe author(s) declared no potential conflicts of interest with respect to the research, authorship, and/or publication of this article.
Figures




References
-
- Iqbal S, Sher MR, Good RA, et al. Diversity in presenting manifestations of systemic lupus erythematosus in children. J Pediatr 1999; 135: 500–505. - PubMed
-
- Kamphuis S, Silverman ED. Prevalence and burden of pediatric-onset systemic lupus erythematosus. Nat Rev Rheumatol 2010; 6: 538–546. - PubMed
-
- Rees F, Doherty M, Grainge MJ, et al. The worldwide incidence and prevalence of systemic lupus erythematosus: a systematic review of epidemiological studies. Rheumatology 2017; 56: 1945–1961. - PubMed
-
- Huang JL, Lin CJ, Hung IJ, et al. The morbidity and mortality associated with childhood onset systemic lupus erythematosus. Chang Yi Xue Za Zhi 1994; 17: 113–120. - PubMed
Publication types
MeSH terms
LinkOut - more resources
Full Text Sources
Medical