Skip to main page content
U.S. flag

An official website of the United States government

Dot gov

The .gov means it’s official.
Federal government websites often end in .gov or .mil. Before sharing sensitive information, make sure you’re on a federal government site.

Https

The site is secure.
The https:// ensures that you are connecting to the official website and that any information you provide is encrypted and transmitted securely.

Access keys NCBI Homepage MyNCBI Homepage Main Content Main Navigation
Case Reports
. 2025 May 3;17(5):e83426.
doi: 10.7759/cureus.83426. eCollection 2025 May.

An Unusual Presentation of Fentanyl-Induced Rhabdomyolysis

Affiliations
Case Reports

An Unusual Presentation of Fentanyl-Induced Rhabdomyolysis

Olivia D Keenum et al. Cureus. .

Abstract

Rhabdomyolysis is a pathological condition characterized by the breakdown of muscle tissue, which often presents with nonspecific imaging findings but necessitates prompt intervention. Providing a differential diagnosis based on imaging findings can significantly aid managing physicians, while a clear clinical context enhances the radiologist's ability to identify critical findings. In this report, we present a case of proximal lower extremity fentanyl-induced rhabdomyolysis identified on computed tomography (CT) angiography (CTA) performed to evaluate for compartment syndrome in the distal left lower extremity. We will discuss the expected imaging findings associated with rhabdomyolysis on both CT and magnetic resonance imaging (MRI).

Keywords: compartment syndrome; computed tomography (ct); computed tomography angiography (cta); fentanyl; magnetic resonance imaging (mri); myositis; rhabdomyolysis.

PubMed Disclaimer

Conflict of interest statement

Human subjects: Consent for treatment and open access publication was obtained or waived by all participants in this study. Conflicts of interest: In compliance with the ICMJE uniform disclosure form, all authors declare the following: Payment/services info: All authors have declared that no financial support was received from any organization for the submitted work. Financial relationships: All authors have declared that they have no financial relationships at present or within the previous three years with any organizations that might have an interest in the submitted work. Other relationships: All authors have declared that there are no other relationships or activities that could appear to have influenced the submitted work.

Figures

Figure 1
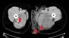
Figure 1. CT angiogram of distal bilateral lower extremities
Arterial phase of axial post-contrast CT demonstrates that all three major arteries of the bilateral lower extremities just proximal to the ankles are patent. Arrows mark the three arteries in the left lower extremity, which is the symptomatic limb.
Figure 2
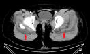
Figure 2. Axial post-contrast CT of the proximal lower extremity musculature
Axial contrast-enhanced CT demonstrates bilateral gluteal muscle enlargement, muscle edema, and heterogeneous muscle enhancement. Arrows mark hypodense areas within the heterogeneous enhancement of the muscles.
Figure 3
Figure 3. Axial post-contrast CT of the bilateral thighs
Axial contrast-enhanced CT shows left greater than right thigh muscle enlargement, muscle edema, and heterogeneous muscle enhancement, most pronounced in the bilateral adductor and posterior thigh compartment musculature. Marked inflammatory changes and edema are also demonstrated within the left medial thigh subcutaneous soft tissues. Arrows mark some of the heterogeneous enhancement and muscle edema in each extremity, as well as inflammatory changes in the subcutaneous tissue of the left thigh.
Figure 4
Figure 4. Coronal post-contrast CT of the proximal bilateral lower extremities
Coronal contrast-enhanced CT shows bilateral, left greater than right, hip, and thigh muscle heterogeneous enhancement with muscle enlargement. Arrows mark areas of heterogenous enhancement and muscle enlargement bilaterally as well as inflammatory changes of the subcutaneous tissue of the thigh noted in the preceding figure.

References

    1. Rhabdomyolysis: review of the literature. Zutt R, van der Kooi AJ, Linthorst GE, Wanders RJ, de Visser M. Neuromuscul Disord. 2014;24:651–659. - PubMed
    1. ABIM laboratory test reference ranges - January 2025, American Board of Internal Medicine. 2025. https://www.abim.org/Media/bfijryql/laboratory-reference-ranges.pdf https://www.abim.org/Media/bfijryql/laboratory-reference-ranges.pdf
    1. The spectrum of rhabdomyolysis. Gabow PA, Kaehny WD, Kelleher SP. Medicine (Baltimore) 1982;61:141–152. - PubMed
    1. Diagnostic evaluation of rhabdomyolysis. Nance JR, Mammen AL. Muscle Nerve. 2015;51:793–810. - PMC - PubMed
    1. Liver aminotransferases are elevated with rhabdomyolysis in the absence of significant liver injury. Weibrecht K, Dayno M, Darling C, Bird SB. J Med Toxicol. 2010;6:294–300. - PMC - PubMed

Publication types

LinkOut - more resources