A Case of Recurrent Gallstone Ileus Treated with Enterolithotomy Alone
- PMID: 40476148
- PMCID: PMC12140604
- DOI: 10.1159/000545980
A Case of Recurrent Gallstone Ileus Treated with Enterolithotomy Alone
Abstract
Introduction: Gallstone ileus is rare but with high mortality. Although gallstone ileus usually requires urgent enterolithotomy, cholecystectomy, and fistula closure, we present a case of recurrent gallstone ileus treated with enterolithotomy alone.
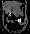
Case presentation: A 69-year-old female presented to the emergency department with nausea, emesis, and abdominal pain. After computed tomography revealed the diagnosis of gallstone ileus, enterolithotomy was performed without postoperative complications. Cholecystectomy and fistula closure were not performed due to inaccessibility to the gallbladder and the high surgical invasion required. Four months later, the patient developed gallstone ileus again. A second enterolithotomy was performed immediately, resulting in a favorable outcome without complications.
Conclusion: In managing gallstone ileus, particularly in cases with surgical limitations, a less invasive strategy could be a reasonable option.
Keywords: Enterolithotomy; Gallstone ileus; Recurrent gallstone ileus.
© 2025 The Author(s). Published by S. Karger AG, Basel.
Conflict of interest statement
The authors have no conflicts of interest to declare.
Figures
References
Publication types
LinkOut - more resources
Full Text Sources
