Optimizing Yttrium-90 Radioembolization Dosimetry for Hepatocellular Carcinoma: A Korean Perspective
- PMID: 40527741
- PMCID: PMC12235541
- DOI: 10.3348/kjr.2025.0308
Optimizing Yttrium-90 Radioembolization Dosimetry for Hepatocellular Carcinoma: A Korean Perspective
Abstract
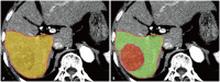
Yttrium-90 transarterial radioembolization (TARE) has emerged as a valuable treatment option for hepatocellular carcinoma (HCC) and is being increasingly incorporated into clinical guidelines. Recent advancements in dosimetry, including personalized dosimetry and multi-compartment modeling, have significantly improved tumor response and clinical outcomes. Although high tumor-absorbed doses are associated with better oncologic control, careful dose adjustment is essential for minimizing toxicity to normal liver tissue and lungs. This review explores the key aspects of TARE dosimetry, including single- and multi-compartment modeling, differences between resin and glass microspheres, dose-response relationships, and strategies to mitigate hepatotoxicity and radiation pneumonitis. Various clinical applications of TARE have been discussed, ranging from curative-intent radiation segmentectomy and lobectomy to palliative treatment of diffuse and macrovascular invasion-associated HCCs. In South Korea, where cadaveric liver transplantation is limited, a multidisciplinary approach is particularly important for optimizing treatment strategies and preserving liver function for potential future interventions. As dosimetry continues to evolve, further research is required to refine dose optimization protocols and validate their clinical impact in different patient populations, including those in South Korea.
Keywords: Dosimetry; Hepatocelluar carcinoma; Radioembolization; Yttrium-90.
Copyright © 2025 The Korean Society of Radiology.
Conflict of interest statement
Hyo-Cheol Kim, a Section Editor of the
Figures










References
-
- Garin E, Tselikas L, Guiu B, Chalaye J, Edeline J, de Baere T, et al. Personalised versus standard dosimetry approach of selective internal radiation therapy in patients with locally advanced hepatocellular carcinoma (DOSISPHERE-01): a randomised, multicentre, open-label phase 2 trial. Lancet Gastroenterol Hepatol. 2021;6:17–29. - PubMed
Publication types
MeSH terms
Substances
LinkOut - more resources
Full Text Sources
Medical
Research Materials