Multimodality Imaging in Wrist Fractures and Dislocations
- PMID: 40529973
- PMCID: PMC12169939
- DOI: 10.1055/s-0044-1801268
Multimodality Imaging in Wrist Fractures and Dislocations
Abstract
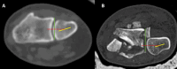
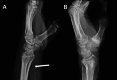
Wrist fractures and dislocations are frequently encountered in the emergency department and can cause significant long-term disability. Imaging plays a crucial role in the evaluation of wrist injuries, with conventional radiography being the first imaging investigation. Cross-sectional imaging is playing an increasingly important role in management of wrist injuries. Computed tomography with 3D and multiplanar reformatting capabilities is in particular useful for detailed evaluation of bony injuries and can provide vital information to orthopaedic surgeons for adequate surgical planning. In this article, we provide a brief review of the normal wrist anatomy, imaging appearance, and various patterns of fractures and dislocations commonly encountered in the emergency department.
Keywords: computed tomography; radiography; radius fractures; wrist injuries; wrist trauma.
Indian Radiological Association. This is an open access article published by Thieme under the terms of the Creative Commons Attribution-NonDerivative-NonCommercial License, permitting copying and reproduction so long as the original work is given appropriate credit. Contents may not be used for commercial purposes, or adapted, remixed, transformed or built upon. ( https://creativecommons.org/licenses/by-nc-nd/4.0/ ).
Conflict of interest statement
Conflict of Interest None declared.
Figures
References
-
- Squires J H, England E, Mehta K, Wissman R D. The role of imaging in diagnosing diseases of the distal radioulnar joint, triangular fibrocartilage complex, and distal ulna. AJR Am J Roentgenol. 2014;203(01):146–153. - PubMed
-
- Kaewlai R, Avery L L, Asrani A V, Abujudeh H H, Sacknoff R, Novelline R A. Multidetector CT of carpal injuries: anatomy, fractures, and fracture-dislocations. Radiographics. 2008;28(06):1771–1784. - PubMed
-
- Bateni C P, Bartolotta R J, Richardson M L, Mulcahy H, Allan C H. Imaging key wrist ligaments: what the surgeon needs the radiologist to know. AJR Am J Roentgenol. 2013;200(05):1089–1095. - PubMed
-
- Gilbert T J, Cohen M. Imaging of acute injuries to the wrist and hand. Radiol Clin North Am. 1997;35(03):701–725. - PubMed
Publication types
LinkOut - more resources
Full Text Sources
