A case of concurrent exacerbation of manifestations and asthma after the initiation of nemolizumab treatment for atopic dermatitis
- PMID: 40538782
- PMCID: PMC12176676
- DOI: 10.1016/j.jdcr.2025.03.026
A case of concurrent exacerbation of manifestations and asthma after the initiation of nemolizumab treatment for atopic dermatitis
Keywords: IL-31; Th2; asthma; atopic dermatitis; itch; nemolizumab.
Conflict of interest statement
Drs Katsuta, Nobeyama, and Asahina received research funding and honorariums from Maruho as speakers. Dr Ishiuji received an honorarium as a speaker from Maruho, Sanofi, Abbvie, Pfizer, Eli Lilly, and Otsuka. The other authors have no conflicts of interest to declare.
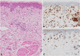
Figures


References
-
- Hanifin J.M., Rajka G. Diagnostic features of atopic dermatitis. Acta Derm Venereol. 1980;60(2):44–47. doi: 10.2340/00015555924447. - DOI
Publication types
LinkOut - more resources
Full Text Sources
Research Materials