Skip to main page content
U.S. flag

An official website of the United States government

Dot gov

The .gov means it’s official.
Federal government websites often end in .gov or .mil. Before sharing sensitive information, make sure you’re on a federal government site.

Https

The site is secure.
The https:// ensures that you are connecting to the official website and that any information you provide is encrypted and transmitted securely.

Access keys NCBI Homepage MyNCBI Homepage Main Content Main Navigation
Case Reports
. 2025 May 21;17(5):e84525.
doi: 10.7759/cureus.84525. eCollection 2025 May.

Massive Foramen Magnum Meningioma Mimicking a Stroke

Affiliations
Case Reports

Massive Foramen Magnum Meningioma Mimicking a Stroke

Alexis D Navarro et al. Cureus. .

Abstract

Foramen magnum meningiomas (FMMs) are skull base tumors that arise from the arachnoid layer of the meninges at the cranio-cervical junction. They typically present gradually, with symptoms ranging from asymmetric, progressive quadriparesis and sensory impairment to involvement of the lower cranial nerves. We report a case of a 50-year-old Asian female who presented with sudden-onset left-sided numbness. Neurologic examination revealed hemisensory loss over her left extremities. Imaging studies showed a meningioma within the spinal canal at the level of C1-C2. She underwent surgical intervention, and there was resolution of the symptoms upon discharge. This case highlights the importance of recognizing atypical manifestations of FMM, such as a sudden-onset hemianesthesia, mimicking a stroke.

Keywords: c1 laminectomy; foramen magnum lesion; meningothelial meningoma; skull base meningioma; stroke mimic.

PubMed Disclaimer

Conflict of interest statement

Human subjects: Consent for treatment and open access publication was obtained or waived by all participants in this study. Jose R. Reyes Memorial Medical Center IRB issued approval 2025-056. Conflicts of interest: In compliance with the ICMJE uniform disclosure form, all authors declare the following: Payment/services info: All authors have declared that no financial support was received from any organization for the submitted work. Financial relationships: All authors have declared that they have no financial relationships at present or within the previous three years with any organizations that might have an interest in the submitted work. Other relationships: All authors have declared that there are no other relationships or activities that could appear to have influenced the submitted work.

Figures

Figure 1
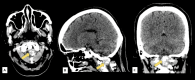
Figure 1. Plain cranial computed tomography (CT) scan in (A) axial, (B) sagittal, and (B) coronal views showing a well-defined extra-axial hyperdense mass with intralesional calcifications measuring 3.2x2.0x1.9 cm (CCxWxAP) within the spinal canal at the level of C1-C2 (arrow)
CC: Craniocaudal; W: Width; AP: Anteroposterior
Figure 2
Figure 2. T1-weighted, post-gadolinium cranial magnetic resonance (MR) imaging in (A) axial, (B) sagittal, and (C) coronal views showing a well circumscribed, contrast-enhancing extra-axial mass lesion measuring approximately 2.9x2.1x3.1 cm (CCxWxAP) within the spinal canal at the level of C1-C2, extending from the inferior clivus to the level of the C2 vertebra (arrow)
CC: Craniocaudal; W: Width; AP: Anteroposterior

References

    1. To evaluate resectability and outcome of Intracranial meningiomas-a prospective study (between Nov 2006-Nov 2014) Kiri DK, Babji K. J Evol Med Dent Sci. 2015;4:2330–2350.
    1. Foramen magnum meningioma: a case report and review of literature. Jurinovic P, Bulicic AR, Marcic M, Mise NI, Titlic M, Suljic E. Acta Inform Med. 2016;24:74–77. - PMC - PubMed
    1. Foramen magnum meningiomas: a systematic review and meta-analysis. Paun L, Gondar R, Borrelli P, Meling TR. Neurosurg Rev. 2021;44:2583–2596. - PMC - PubMed
    1. Foramen magnum meningioma. Series of 20 cases. Complications, risk factors for relapse, and follow-up. Fernandes MW, De Aguiar PH, Galafassi GZ, De Aguiar PH, Raffa PE, Maldaun MV. J Craniovertebr Junction Spine. 2021;12:406–411. - PMC - PubMed
    1. Meningioma of foramen magnum causing drop attacks. Mahore A, Ramdasi R, Mavani S, et al. Case Rep Neurol Med. 2015;2015:214563. - PMC - PubMed

Publication types

LinkOut - more resources