West Nile neuroinvasive disease with poliomyelitis syndrome: A grave phenomenon
- PMID: 40567532
- PMCID: PMC12188043
- DOI: 10.1177/2050313X241305165
West Nile neuroinvasive disease with poliomyelitis syndrome: A grave phenomenon
Abstract
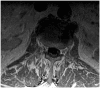
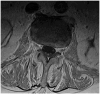
West Nile virus infection poses a significant threat, especially during the warmer months when mosquitoes are abundant. Clinicians must remain vigilant for neuroinvasive illness in patients presenting with febrile symptoms and malaise following mosquito exposure. While magnetic resonance imaging and cerebrospinal fluid analysis aid in differential diagnosis, detecting West Nile immunoglobulin M in serum is crucial for definitive diagnosis. Treatment primarily involves supportive care due to the absence of established regimens, though promising outcomes have been reported with plasma exchange and intravenous immunoglobulin. We present the case of an 83-year-old resident of Alabama, an avid gardener living near a pond, who initially exhibited symptoms of productive cough, diarrhea, fever, and generalized malaise. However, within 48 h, he developed hypoxemia, functional quadriplegia, and bulbar palsy necessitating intubation. Diagnostic evaluations, including magnetic resonance imaging and positive West Nile virus immunoglobulin M in serum, confirmed West Nile virus-associated poliomyelitis viral syndrome, prompting intravenous immunoglobulin therapy. This case highlights the importance of promptly identifying and managing West Nile virus infection, especially in regions susceptible to mosquito-borne diseases, and being vigilant of the disease in non-endemic regions. The case also begs the question of the timing and efficacy of intravenous immunoglobulin and plasma exchange in West Nile virus infection and the fact that more data should be collected on these therapies.
Keywords: West Nile encephalitis; West Nile neuroinvasive disease with poliomyelitis syndrome; West Nile virus; caudal nerve root enhancement; flavivirus.
© The Author(s) 2025.
Conflict of interest statement
The author(s) declared no potential conflicts of interest with respect to the research, authorship, and/or publication of this article.
Figures

















References
-
- Asnis DS, Conetta R, Teixeira AA, et al. The West Nile virus outbreak of 1999 in New York: the Flushing Hospital experience. Clin Infect Dis 2000; 30: 413–418. - PubMed
-
- Nash D, Mostashari F, Fine A, et al. The outbreak of West Nile virus infection in the New York City area in 1999. N Engl J Med 2001; 344(24): 1807–1814. - PubMed
-
- New York Department of Health. West Nile virus surveillance and control: an update for healthcare providers in New York City. City Health Inf 2001; 20: 1–7.
Publication types
LinkOut - more resources
Full Text Sources