Peritoneal metastasis of high-grade glioma via Ventriculoperitoneal shunt
- PMID: 40585465
- PMCID: PMC12202301
- DOI: 10.1093/omcr/omaf080
Peritoneal metastasis of high-grade glioma via Ventriculoperitoneal shunt
Abstract
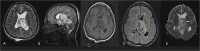
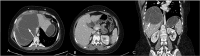
High-grade gliomas (HGGs) are aggressive primary brain tumors with a poor prognosis. Although extracranial metastasis is uncommon, peritoneal dissemination via ventriculoperitoneal (VP) shunts is extremely rare. Here, we describe the case of an 18-year-old female with HGG who developed peritoneal metastasis one year after VP shunt placement. Although VP shunting in the presence of an intracranial high-grade tumor is generally not contraindicated, shunt-related metastasis should be recognized as a potential risk and an important, albeit rare, clinical presentation. This case highlights the diagnostic challenges and therapeutic limitations of this rare complication. Understanding this phenomenon is crucial for developing effective monitoring and treatment strategies.
Keywords: Extraneural metastasis; Ventriculoperitoneal shunt; case report; glioma; peritoneal metastasis.
© The Author(s) 2025. Published by Oxford University Press.
Conflict of interest statement
No conflicts of interest.
Figures










References
-
- Pasquier B, Pasquier D, N'golet A. et al. Extraneural metastases of astrocytomas and glioblastomas: Clinicopathological study of two cases and review of literature. Cancer 1980;45:112–25. - PubMed
-
- Stephens S, Tollesson G, Robertson T. et al. Diffuse midline glioma metastasis to the peritoneal cavity via ventriculoperitoneal shunt: case report and review of literature. J Clin Neurosci 2019;67:288–93. - PubMed
-
- National Comprehensive Cancer Network. Central Nervous System Cancers (Version 3.2024). Plymouth Meeting, PA: National Comprehensive Cancer Network; 2024. Available at: https://www.nccn.org/professionals/physician_gls/pdf/cns.pdf. Accessed October 7, 2024.
Publication types
LinkOut - more resources
Full Text Sources