VALVE-IN-VALVE IMPLANTATION GONE SOUTH: A CASE REPORT
- PMID: 40599482
- PMCID: PMC12207850
- DOI: 10.20471/acc.2024.63.s1.16
VALVE-IN-VALVE IMPLANTATION GONE SOUTH: A CASE REPORT
Abstract
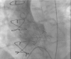
Valve-in-Valve (ViV) procedures for failed surgical bioprostheses are becoming increasingly common. We present a case of a 73-year-old male patient with significant comorbidities who underwent a primary transcatheter aortic valve implantation (TAVI) with an Evolut 29 mm (Medtronic, Minneapolis, MN, USA) valve. This TAVI-prosthesis implantation failed due to the inability to fix the valve at the appropriate height to achieve an optimal hemodynamic result. The valve had to be snared and pulled into an adequate position and was then fixed by an implantation of another TAVI-prosthesis (29 mm Sapien S3, Edwards Lifesciences, Irvine, CA, USA) with optimal final result. The patient was discharged after significant clinical improvement and without further complications.
Keywords: complications; structural interventions; transcatheter aortic valve replacement.
Sestre Milosrdnice University Hospital.
Figures





References
-
- Sá MPBO, Van den Eynde J, Simonato M, Cavalcanti LRP, Doulamis IP, Weixler V, et al. Valve-in-Valve Transcatheter Aortic Valve Replacement Versus Redo Surgical Aortic Valve Replacement: An Updated Meta-Analysis. JACC Cardiovasc Interv. 2021. January 25;14(2):211–20. 10.1016/j.jcin.2020.10.020 - DOI - PubMed
Publication types
MeSH terms
LinkOut - more resources
Full Text Sources