Radiographic Performance of a Novel Femoral Stem Design
- PMID: 40606729
- PMCID: PMC12212328
Radiographic Performance of a Novel Femoral Stem Design
Abstract
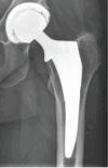
Background: In the United States, cementless fixation is the gold standard for elective total hip arthroplasty (THA). Many modern cementless stem designs have re-introduced collared stem options in recent years which have demonstrated a lower risk of fracture. Minimal studies, however, outline radiographic performance of this novel stem design. As such, the primary purpose of this single-center study was to determine the radiographic performance, including defining patterns of radiographic incorporation and remodeling, associated with this novel, single stem design.
Methods: Data within the institutional data repository was queried for patients who underwent a primary or conversion THA between January 1st, 2016 and July 31st, 2022. Patients were included in the study if they were 18 years of age or older and had a minimum of a one-year follow-up visit. Patients were excluded if they did not have a radiograph at the one-year follow-up or if the stem was placed in a revision setting. Continuous data were reported as means and standard deviations (± SD), and categorical data were reported as number of cases (n) and percentages (%).
Results: A total of 592 encounters (562 patients) were included in the final analyses. At the one-year postoperative visit, no stems met the criteria for radiographic loosening, 502 (85.2%) patients had distinct radiographic osseointegration of their stem as defined by at least one radiographic spot weld. There was an 18.7% incidence of calcar-collar gaps on initial radiographs and 66.7% of these filled in by one-year. The intraoperative fracture rate was 0.7% without any cases of secondary stem revision or loosening and only 0.8% of stems showed subsidence (i.e., all less than 5 mm) without loosening or revision. Thigh pain within the first year was reported in 1.7% of patients. The all-cause stem revision at one-year was 0.2%.
Conclusion: This study demonstrated excellent rates of healing of this novel stem design. Additionally, this novel stem was associated with low rates of periprosthetic fracture, stem revision, and thigh pain. Level of Evidence: IV.
Keywords: collared femoral stem; total hip arthroplasty; uncemented femoral stem.
Copyright © The Iowa Orthopaedic Journal 2025.
Conflict of interest statement
Disclosures: The authors report no potential conflicts of interest related to this study.
Figures





References
MeSH terms
LinkOut - more resources
Full Text Sources
Medical
Research Materials
Miscellaneous