Hemiplegic Migraine in a Patient With Neurologic Symptoms After Regadenoson Administration
- PMID: 40636337
- PMCID: PMC12238315
- DOI: 10.1002/ccr3.70611
Hemiplegic Migraine in a Patient With Neurologic Symptoms After Regadenoson Administration
Abstract
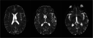
Regadenoson, a selective adenosine A2A receptor agonist, is widely used as a stress agent for myocardial perfusion imaging. A2A receptor activation has been implicated in migraines due to its pro-nociceptive effects within trigeminal pain pathways. This case report discusses a 67-year-old female with headache, sudden onset unilateral weakness, and paresthesias after undergoing a PET-CT for ischemic evaluation. Subsequent lab and imaging studies were unconcerning for acute stroke or seizure, raising suspicion for hemiplegic migraine given her extensive neurologic history and rapid onset of symptoms. Regadenoson may be associated with hemodynamic instability and lowering of the seizure threshold. Patients should be screened for neurologic risk factors prior to receiving regadenoson to determine if alternate modalities for ischemic evaluation are more suitable.
Keywords: cardiology; general medicine; migraine; neurology; regadenoson.
© 2025 The Author(s). Clinical Case Reports published by John Wiley & Sons Ltd.
Conflict of interest statement
The authors declare no conflicts of interest.
Figures
References
- 
    - Iskandrian A. E., Bateman T. M., Belardinelli L., et al., “Adenosine Versus Regadenoson Comparative Evaluation in Myocardial Perfusion Imaging: Results of the ADVANCE Phase 3 Multicenter International Trial,” Journal of Nuclear Cardiology 14, no. 5 (2007): 645–658, 10.1016/j.nuclcard.2007.06.114. - DOI - PubMed
 
LinkOut - more resources
- Full Text Sources
- Miscellaneous
 
         
               
              