An Atypical Presentation of a Recurrent Pericardial Cyst
- PMID: 40645726
- PMCID: PMC12441449
- DOI: 10.1016/j.jaccas.2025.104005
An Atypical Presentation of a Recurrent Pericardial Cyst
Abstract
Background: Pericardial cysts are rare, affecting 1 in 100,000 people and affecting both males and females equally.
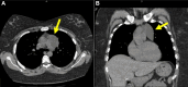
Case summary: We present the atypical presentation of a progressive, left-sided pericardial cyst. The patient underwent surgical resection with recurrence within 5 months.
Discussion: The rarity of pericardial cysts and their predominantly right-sided location highlight the unusual nature of this case, compounded by the lack of understanding regarding factors contributing to cyst growth and recurrence. This case also raises the question of whether incomplete excision increases the risk of recurrence.
Keywords: atypical; cyst; pericardial; recurrence; resection.
Copyright © 2025 The Authors. Published by Elsevier Inc. All rights reserved.
Conflict of interest statement
Funding Support and Author Disclosures The authors have reported that they have no relationships relevant to the contents of this paper to disclose.
Figures
References
-
- Patel J., Park C., Michaels J., Rosen S., Kort S. Pericardial cyst: case reports and a literature review. Echocardiogr J Card. 2004;21(3):269–272. - PubMed
-
- Alkharabsheh S., Ayache A., Halabi S.A., et al. Pericardial cysts: do they grow over time? J Am Coll Cardiol. 2016;67(13):1752. (suppl)
-
- Horita K., Sakao Y., Itoh T. Excision of a recurrent pericardial cyst using video-assisted thoracic surgery. Chest. 1998;114:1203–1204. - PubMed
Publication types
LinkOut - more resources
Full Text Sources
