Use of personalized graft cage and RIA bone graft in a case of acute infection following a grade 2 open tibial shaft fracture: a new option for bone grafting in patients with critical size segmental bone defects
- PMID: 40671784
- PMCID: PMC12264204
- DOI: 10.1093/jscr/rjaf493
Use of personalized graft cage and RIA bone graft in a case of acute infection following a grade 2 open tibial shaft fracture: a new option for bone grafting in patients with critical size segmental bone defects
Abstract
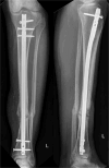
Critical size segmental bone defects represent a challenging problem. Recently, personalized, structured three-dimensional graft cages have been developed to improve ingrowth of autologous bone material and reduce resorption. A 44-year-old patient presented with an open tibial shaft fracture after a motorcycle incident with minor bone loss. Following intramedullary nailing, an acute infection developed that required removal of ~4 cm bone in a circular mode. After multiple interventions, a personalized 3D-printed graft cage was implanted and filled with autologous bone material, harvested by intramedullary reaming from the ipsilateral femur. Ten months postoperatively, the patient is completely pain free and shows good clinical and radiological status. In conclusion, use of a 3D-printed graft cage in combination with Reamer Irrigator Aspirator (RIA) might represent a new additional feature for larger bone defects to avoid gravity or perfusion related resorption of large area defects.
Keywords: Masquelet technique; bone defects; graft cage; infections; intramedullary fracture fixation; tibial fractures; trauma.
© The Author(s) 2025. Published by Oxford University Press and JSCR Publishing Ltd.
Conflict of interest statement
None declared.
Figures



References
-
- Billow D, Khlopas A, Chughtai M, et al. The reamer-irrigator-aspirator system: a review. Surg Technol Int 2016;29:287–94. - PubMed
Publication types
LinkOut - more resources
Full Text Sources