Muscle Biopsy Findings in Valosin-Containing Protein Multisystem Proteinopathy
- PMID: 40678441
- PMCID: PMC12270496
- DOI: 10.1212/NXG.0000000000200265
Muscle Biopsy Findings in Valosin-Containing Protein Multisystem Proteinopathy
Abstract
Background and objectives: Valosin Containing Protein-associated multisystem proteinopathy (VCP-MSP) is a progressive, autosomal dominant disorder caused by pathogenic variants in the VCP gene, resulting in a heterogeneous clinical presentation. Muscle biopsy findings are characteristic but not pathognomonic. This study aimed to comprehensively analyse VCP-related myopathology and explore correlations with clinical phenotypes, genetic variants, and disease progression.
Methods: Muscle biopsy images and data were collected retrospectively from adults (≥18 years) with pathogenic or likely pathogenic VCP variants enrolled in the VCP Multicentre International Study. Biopsy data were standardized using the "Common Data Elements for Muscle Biopsy Reporting." Variations in biopsy findings were analysed by biopsy site, time from disease onset, the four most common VCP variants, and clinical phenotypes.
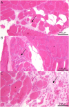
Result: A total of 112 muscle biopsies were included. Most individuals were male (66.0%). The mean age at biopsy was 53.3 years (SD 10.0), with a mean disease duration of 6.5 years (SD 4.5). The most frequent VCP variant was c.464G>A (p.Arg155His) (18.8%). The top clinical phenotypes were isolated myopathy (37.5%), myopathy with Paget disease of bone (17.9%), and myopathy with motor neuron involvement (13.4%). The vastus lateralis was the most common biopsy site (34.8%), and 91% were open biopsies. Histopathologic findings included atrophic fibres (87.5%), rimmed vacuoles (72.3%), endomysial fibrosis (58.0%), and protein aggregates (51.8%), primarily p62 (60.3%) and VCP (36.2%). Degeneration niches with fibrofatty replacement and atrophic fibres were seen in 33.3% of biopsies without frequency differences by clinical phenotypes. There were no differences in biopsy findings among the 4 most common VCP gene variants, except for the absence of degeneration niches in muscle biopsies of 12 patients with c.277C>T (p.Arg93Cys). MRI data from 30 patients showed fat pockets corresponding to these niches and STIR hyperintensity correlated with inflammatory infiltrates in 42.9%. Concordance between clinical phenotype, biopsy, and neurophysiology was observed in only 49.4% of cases, indicating significant heterogeneity.
Discussion: VCP-MSP muscle biopsies consistently show myopathic or mixed patterns with rimmed vacuoles and p62/VCP-positive inclusions, regardless of clinical phenotype, age, or progression. Some lack vacuoles, challenging diagnosis. Discrepancies between clinical, neurophysiology, and biopsy findings should prompt consideration of VCP-MSP to improve detection and management.
Copyright © 2025 The Author(s). Published by Wolters Kluwer Health, Inc. on behalf of the American Academy of Neurology.
Conflict of interest statement
The authors report no relevant disclosures. Go to Neurology.org/NG for full disclosures.
Figures





Comment on
-
Valosin-Containing Protein Multisystem Proteinopathy and Myopathology.Neurol Genet. 2025 Jul 16;11(4):e200290. doi: 10.1212/NXG.0000000000200290. eCollection 2025 Aug. Neurol Genet. 2025. PMID: 40678442 Free PMC article. No abstract available.
References
Publication types
LinkOut - more resources
Full Text Sources
Research Materials
Miscellaneous