The dark side of pulmonary alveolar proteinosis
- PMID: 40689793
- PMCID: PMC12320957
- DOI: 10.5826/mrm.2025.1027
The dark side of pulmonary alveolar proteinosis
Abstract
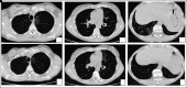
Background: Pulmonary alveolar proteinosis (PAP) has an unpredictable clinical course. Although usually benign, an association with pulmonary fibrosis is described in literature, with troubling therapeutic and prognostic implications.
Clinical case: We report the case of a patient affected by autoimmune PAP who developed pleuro-parenchymal fibroelastosis (PPFE) after 6 years of disease and underwent bilateral lung transplantation due to end stage respiratory failure.
Conclusion: Punctual descriptions of pulmonary fibrosis in PAP are still lacking and no predictors of fibrotic evolution of PAP are known. It is necessary to ensure a strict follow up in order to promptly recognize signs of fibrotic evolution and early refer patients with evolutive disease to lung transplant center. Moreover, an extended genetic analysis by targeted next-generation sequencing could provide high-resolution information that may allow the identification of susceptible patients in a pre-fibrotic stage of disease.
Conflict of interest statement
Figures



References
-
- McCarthy C, Bonella F, O’Callaghan M, Dupin C, Alfaro T, Fally M, et al. European Respiratory Society guidelines for the diagnosis and management of pulmonary alveolar proteinosis. Eur Respir J. 2024;64(5):2400725. - PubMed
-
- Kanaoka K, Arai T, Takimoto T, Moda M, Shintani R, Ryuge M, et al. Pulmonary fibrosis in pulmonary alveolar proteinosis evaluated by transbronchial lung cryobiopsy: A single-center retrospective study. Respir Investig. 2024;62(6):1161–67. - PubMed
LinkOut - more resources
Full Text Sources
Research Materials