Case Report: Disseminated herpes simplex virus complicated by hemophagocytic lymphohistiocytosis in a neonate
- PMID: 40755917
- PMCID: PMC12313663
- DOI: 10.3389/fped.2025.1571715
Case Report: Disseminated herpes simplex virus complicated by hemophagocytic lymphohistiocytosis in a neonate
Abstract
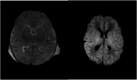
Neonatal herpes simplex virus (HSV) infection carries a high mortality rate due to its potential to cause disseminated disease involving multiple organ systems, which can rapidly progress to shock and death if not promptly treated. In rare cases, neonates may mount an uncontrolled inflammatory response leading to hemophagocytic lymphohistiocytosis (HLH), a severe hyperinflammatory syndrome. We present a case of neonatal HSV infection complicated by HLH, highlighting the challenges of managing both conditions concurrently. Our therapeutic approach demonstrated a reduction in systemic inflammation and viral load; however, despite these efforts, the patient developed multiorgan failure and ultimately died from the initial disease process. This case underscores the severity of neonatal HSV infection and emphasizes the critical role pediatricians play in early identification of transmission risk factors and prevention strategies.
Keywords: disseminated infection; hemophagocytic lymphohistiocytosis; immunosuppression; intensive care; neonatal herpes simplex.
© 2025 Tadros and Godiwala.
Conflict of interest statement
The authors declare that the research was conducted in the absence of any commercial or financial relationships that could be construed as a potential conflict of interest.
Figures

References
-
- Saleh D, Yarrarapu SNS, Sharma S. Herpes simplex type 1. In: StatPearls. Treasure Island (FL): StatPearls Publishing; (2023). Available online at: https://www.ncbi.nlm.nih.gov/books/NBK482197/ (Accessed August 28, 2023). - PubMed
-
- Mathew J, Jr, Sapra A. Herpes simplex type 2. In: StatPearls. Treasure Island (FL): StatPearls Publishing; (2023). Available online at: https://www.ncbi.nlm.nih.gov/books/NBK554427/ (Accessed August 7, 2023).
-
- Fernandes ND, Arya K, Ward R. Congenital herpes simplex. In: StatPearls. Treasure Island (FL): StatPearls Publishing; (2023). Available online at: https://www.ncbi.nlm.nih.gov/books/NBK507897/ (Accessed September 15, 2022). - PubMed
Publication types
LinkOut - more resources
Full Text Sources