Surgical treatment for postpneumonectomy syndrome
- PMID: 40789702
- PMCID: PMC12351674
- DOI: 10.1136/bcr-2025-266605
Surgical treatment for postpneumonectomy syndrome
Abstract
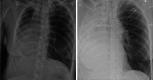
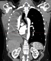
Postpneumonectomy syndrome (PPS) is a rare complication after pneumonectomy characterised by severe mediastinal shift leading to airway compression and respiratory distress. We present a case of a woman in her mid-40s who developed PPS following a right pneumonectomy for bronchial mucoepidermoid carcinoma. Surgical treatment of PPS had not previously been performed in Denmark by Danish surgeons, which is why we consulted with a British surgeon. The surgery was performed in Denmark.The procedure resulted in immediate respiratory improvement, and the patient was discharged 22 days postoperatively. Follow-up demonstrated sustained airway patency and no signs of cancer recurrence. This case highlights the feasibility and effectiveness of surgical management of PPS in centres with limited prior experience and supports mediastinal repositioning with prosthetic implants as a viable treatment option in severe cases.
Keywords: Cardiothoracic surgery; Otolaryngology / ENT; Surgical oncology.
© BMJ Publishing Group Limited 2025. Re-use permitted under CC BY-NC. No commercial re-use. See rights and permissions. Published by BMJ Group.
Conflict of interest statement
Competing interests: Thomas Decker Christensen has been on the speaker bureaus for AstraZeneca, Chiesi and GlaxoSmithKline and has been in an Advisory Board for Sanofi and AstraZeneca. Other authors: none declared.
Figures





References
Publication types
MeSH terms
LinkOut - more resources
Full Text Sources
Medical
Research Materials
Miscellaneous