Continuous Radiofrequency for Morton's Neuroma: Is There Complete Ablation? A Preliminary Report
- PMID: 40805871
- PMCID: PMC12345903
- DOI: 10.3390/healthcare13151838
Continuous Radiofrequency for Morton's Neuroma: Is There Complete Ablation? A Preliminary Report
Abstract
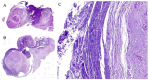
Background and Objectives: Morton's neuroma is a painful foot condition that can be treated with continuous radiofrequency. However, its efficacy is not always optimal, with failure rates of 15-20%. It has been suggested that these failures may be due to incomplete nerve ablation, allowing for nerve regeneration and persistent pain. So, the aim of this study was to assess the histological effects of continuous radiofrequency on the nerves affected by Morton's neuroma. Materials and Methods: The effect of continuous radiofrequency was evaluated in two patients with Morton's neuroma, which required open surgery excision. In both cases, radiofrequency with a standard protocol was applied ex vivo, following the surgical excision of the neuroma. A TLG10 RF generator (90 °C, 90 s) with a monopolar needle with a 0.5 cm active tip was used. Subsequently, the samples were histologically analyzed to determine the degree of nerve ablation. Results: Histological analysis showed homogeneous focal necrosis in both cases, with lesion depths of 2.4 mm and 3.18 mm. However, areas of intact nerve tissue were identified at the periphery of the neuroma, suggesting incomplete ablation. Conclusions: The findings indicate that continuous radiofrequency does not guarantee total nerve ablation, which could explain recurrence in some cases. Intraoperative neurophysiological monitoring could be key to optimizing the procedure, ensuring complete interruption of nerve conduction and improving treatment efficacy.
Keywords: Morton’s neuroma; histological analysis; nerve ablation; neuroma; radiofrequency.
Conflict of interest statement
The authors declare no conflicts of interest.
Figures




References
LinkOut - more resources
Full Text Sources