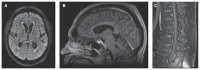
Neurosarcoidosis presenting as possible normal pressure hydrocephalus in a 71-year-old man
- PMID: 40854609
- PMCID: PMC12380443
- DOI: 10.1503/cmaj.250313
Neurosarcoidosis presenting as possible normal pressure hydrocephalus in a 71-year-old man
Conflict of interest statement
Competing interests:: Thomas Appleton has received honoraria or consulting fees from AbbVie, Novartis, Pfizer, UCB, Fresenius, and KABi. Courtney Casserly has received honoraria or consulting fees from EMD Serono, Biogen Idec, Roche, Amgen, Novartis, Sanofi Genzyme, Teva, Alexion, and Horizon. She has served as the principal investigator for an investigator-initiated clinical trial sponsored by Biogen and has received the Western Teaching Innovation Award 2024. She is the Ontario representative at the Canadian Neurological Society and an expert consultant on the MOG Project.
Figures




References
-
- Ramos-Casals M, Kostov B, Brito-Zerón P, et al. How the frequency and phenotype of sarcoidosis is driven by environmental determinants. Lung 2019;197:427–36. - PubMed
-
- Drent M, Crouser ED, Grunewald J. Challenges of sarcoidosis and its management. N Engl J Med 2021;385:1018–32. - PubMed
-
- Stern BJ, Royal W, Gelfand JM, et al. Definition and consensus diagnostic criteria for neurosarcoidosis: from the Neurosarcoidosis Consortium Consensus Group. JAMA Neurol 2018;75:1546–53. - PubMed
-
- Allen RK, Sellars RE, Sandstrom PA. A prospective study of 32 patients with neurosarcoidosis. Sarcoidosis Vasc Diffuse Lung Dis 2003;20:118–25. - PubMed
LinkOut - more resources
Full Text Sources