Synchronous papillary renal neoplasm with reverse polarity and multilocular cystic renal neoplasm of low malignant potential in unilateral kidney: case report with molecular analysis and literature review
- PMID: 40860802
- PMCID: PMC12375447
- DOI: 10.3389/fonc.2025.1605192
Synchronous papillary renal neoplasm with reverse polarity and multilocular cystic renal neoplasm of low malignant potential in unilateral kidney: case report with molecular analysis and literature review
Abstract
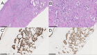
Papillary Renal Neoplasm with Reverse Polarity (PRNRP) is a rare renal tumor, recently described in 2019 by Al-Obaidy et al. defined by characteristic histology of papillary neoplasm with apically located WHO/ISUP grade 1nuclei and frequent KRAS mutations. Multilocular cystic renal neoplasm of low malignant potential (MC-LMP) is an indolent tumor with a characteristic multicystic appearance with cysts lined by WHO/ISUP nuclear grade1 clear cells and presence of VHL alterations similar to that of clear cell renal cell carcinoma (ccRCC); therefore, considered its variant. Simultaneous occurrence of both these tumor types that are immunophenotypically and genetically distinct within same kidney is extremely rare and this is the first case report to date. Herein, we report a case of a 70-year-old male who was incidentally found to have bilateral renal cysts on imaging follow up for cardiovascular problems. The diagnosis of PRNRP and MC-LMP within the same kidney was made on histology in conjunction with ancillary tests. Awareness of PRNRP and MC-LMP is crucial for accurate diagnosis, as these tumors often resemble some of the aggressive variants of Renal cell carcinoma (RCC), such as Papillary RCC (pRCC) and ccRCC respectively on histology. Ability to correctly identify these indolent tumors is essential for optimal treatment options as they are often amenable to partial nephrectomy. This case underscores the need for further research into the pathogenesis and clinical implications of synchronous renal tumors with distinct immunophenotypes, and genomic profiles within the same kidney.
Keywords: KRAS mutation; multiloculate cystic renal neoplasm of low malignancy potential; papillary renal neoplasm with reverse polarity; renal neoplasm pathogenesis; synchronous renal tumors.
Copyright © 2025 Nithagon, Chahine, Stamatakis and Samdani.
Conflict of interest statement
The authors declare that the research was conducted in the absence of any commercial or financial relationships that could be construed as a potential conflict of interest.
Figures



References
-
- SEER Cancer Stat Facts: Kidney and Renal Pelvis Cancer. Bethesda, MD: National Cancer Institute. Available online at: https://seer.cancer.gov/statfacts/html/kidrp.html.
Publication types
LinkOut - more resources
Full Text Sources
Miscellaneous