PSMA-Directed Theranostics in Prostate Cancer
- PMID: 40868092
- PMCID: PMC12383307
- DOI: 10.3390/biomedicines13081837
PSMA-Directed Theranostics in Prostate Cancer
Abstract
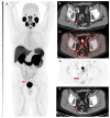
Following lung cancer, prostate cancer is the leading cause of cancer death in men. High-risk localized tumor burden or metastatic disease often progresses, refractory to initial treatment regimens. There is ongoing development of technology to appropriately identify high-risk patients, stage them correctly, and offer appropriate treatments to obtain the best clinical outcomes. Prostate cancer-specific membrane antigen (PSMA) is a transmembrane glutamate carboxypeptidase, which helps regulate folate absorption, and its overexpression is pathologically directly proportional and associated with prostate cancer. Increased PSMA expression is a known independent risk factor for poorer survival, and most metastatic lesions in CRPC are PSMA positive. Over the last decade, several PSMA-based PET radiopharmaceuticals have demonstrated superior sensitivities and specificities compared to traditional imaging methods. These outcomes have been demonstrated by several large clinical trials. As the data emerges, these diagnostics are being integrated into standard of care protocol to facilitate nuanced identification of malignant lesions. PSMA is also being targeted through several therapeutics, including radioligands and immunotherapies such as CAR-T, BiTEs, and ADCs. This review will discuss the landscape of PSMA-based theranostics in the context of prostate cancer.
Keywords: PSMA theranostics; antibody drug conjugates; immunotherapy in prostate cancer; prostate cancer therapeutics; radioligand therapy.
Conflict of interest statement
The authors declare no conflicts of interest.
Figures
References
-
- American Cancer Society . Key Statistics for Prostate Cancer. American Cancer Society; Atlanta, GA, USA: 2025.
-
- Paschalis A., Sheehan B., Riisnaes R., Rodrigues D.N., Gurel B., Bertan C., Ferreira A., Lambros M.B.K., Seed G., Yuan W., et al. Prostate-specific membrane antigen heterogeneity and DNA repair defects in prostate cancer. Eur. Urol. 2019;76:469–478. doi: 10.1016/j.eururo.2019.06.030. - DOI - PMC - PubMed
Publication types
Grants and funding
LinkOut - more resources
Full Text Sources
Research Materials
Miscellaneous
