Unraveling a Diagnostic Enigma: Navigating an Intricate Case of Spontaneous Cerebrospinal Fluid Rhinorrhea
- PMID: 40880706
- PMCID: PMC12346992
- DOI: 10.26574/maedica.2025.20.2.414
Unraveling a Diagnostic Enigma: Navigating an Intricate Case of Spontaneous Cerebrospinal Fluid Rhinorrhea
Abstract
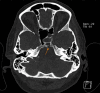
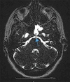
Cerebrospinal fluid (CSF) rhinorrhea is a relatively rare medical condition characterized by the drainage of CSF through the nasal cavity. Cerebrospinal fluid leakage can be attributed to a plethora of different causes, mostly traumatic or iatrogenic, but it can also be spontaneous. Due to its rare entity, CSF rhinorrhea is often a diagnostic trap and can be misdiagnosed and mistreated as rhinosinusitis or allergic rhinitis. This can result in severe complications, such as meningitis, which could potentially have life-threatening consequences if not accurately identified and managed. In this case report, a 53-year-old Caucasian woman presented at the emergency department with symptoms of headache, fever, transparent nasal discharge from her left nostril when leaning forward and mild neck stiffness. Based on the patient's clinical presentation and physical examination findings, there was a high suspicion of central nervous system infection and cerebrospinal fluid leakage. A lumbar puncture confirmed the diagnosis of meningitis, while imaging exams, including computed tomography (CT) and magnetic resonance imaging (MRI) scans, revealed a fistula between the posterior wall of sphenoid sinus and the subarachnoid space. Additional findings included an empty sella turcica, suggesting a potential underlying cause for this condition and an incidental meningioma near the area of leakage. The patient received empiric intravenous antibiotic therapy and was discharged after ten days. She was referred to the neurosurgical department for surgical repair of the CSF leak and removal of the meningioma, in line with appropriate treatment guidelines. This study highlights the importance of promptly identifying and thoroughly investigating potential causes of CSF leakage to provide appropriate medical management.
Conflict of interest statement
None declared.
Figures





References
-
- Lyons MK, Meyer FB. Cerebrospinal fluid physiology and the management of increased intracranial pressure. Mayo Clin Proc. 1990;65:684–707. - PubMed
-
- Sakka L, Coll G, Chazal J. Anatomy and physiology of cerebrospinal fluid. Eur Ann Otorhinolaryngol Head Neck Dis. 2011;128:309–316. - PubMed
-
- Abuabara A. Cerebrospinal fluid rhinorrhoea: diagnosis and management. Medicina Oral, Patologia Oral y Cirugia Bucal. 2007;12:E397–400. - PubMed
LinkOut - more resources
Full Text Sources
Miscellaneous