Magnetic resonance imaging spectrum of acute hemorrhagic leukoencephalitis: Four case reports
- PMID: 40881012
- PMCID: PMC12362457
- DOI: 10.12998/wjcc.v13.i28.107759
Magnetic resonance imaging spectrum of acute hemorrhagic leukoencephalitis: Four case reports
Abstract
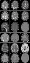
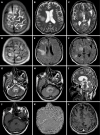
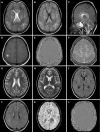
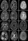
Background: Acute hemorrhagic leukoencephalitis (AHLE), also known as Weston-Hurst syndrome, is a very rare and fulminant form of demyelinating disorder. It is considered a hyperacute and severe variant of acute disseminated encephalomyelitis. Clinically, patients present with fever, headache, seizures, and altered sensorium, which can rapidly progress to coma or death. Magnetic resonance imaging (MRI) is the investigation of choice and plays a pivotal role in diagnosing AHLE. The purpose of this article is to make readers familiar with the typical MRI features of AHLE and to discuss differentials.
Case summary: This case series reports the clinical presentation and typical neuroimaging findings in four patients diagnosed with AHLE. All patients presented with acute neurological symptoms, such as severe headaches, seizures, and altered consciousness, often following a history of fever suggesting an infectious etiology. Additionally, laboratory investigations demonstrated elevated levels of serum inflammatory markers and neutrophilic pleocytosis on cerebrospinal fluid analysis, supporting a post-infectious etiology. MRI findings consistently revealed characteristic white matter lesions with hemorrhagic foci and vasogenic edema, indicative of widespread demyelination characteristic of AHLE. The outcomes varied, with two patients surviving but experiencing neurological sequelae, while two others unfortunately succumbed to the disease. The clinical data, laboratory results, and imaging findings from this case series were systematically compared with those from previously published studies. The key similarities and differences in clinical presentation, imaging characteristics, and outcomes are presented in a tabulated format.
Conclusion: AHLE is associated with high morbidity and mortality rates, emphasizing the need for early recognition, prompt intervention, and multidisciplinary management. Further research is needed to explain the pathophysiological mechanisms underlying AHLE, identify potential biomarkers for early diagnosis, and develop targeted therapies to improve patient outcomes.
Keywords: Case report; Central nervous system; Demyelinating disease; Hemorrhage; Hurst’s disease; Leukoencephalitis; Magnetic resonance imaging.
©The Author(s) 2025. Published by Baishideng Publishing Group Inc. All rights reserved.
Conflict of interest statement
Conflict-of-interest statement: All the authors report no relevant conflicts of interest for this article.
Figures




References
-
- Hurst EW. Acute hemorrhagic leukoencephalitis: a previously undefined entity. Med J Aust. 1941;2:1–6.
-
- Pinto PS, Taipa R, Moreira B, Correia C, Melo-Pires M. Acute hemorrhagic leukoencephalitis with severe brainstem and spinal cord involvement: MRI features with neuropathological confirmation. J Magn Reson Imaging. 2011;33:957–961. - PubMed
-
- Palace J. Acute disseminated encephalomyelitis and its place amongst other acute inflammatory demyelinating CNS disorders. J Neurol Sci. 2011;306:188–191. - PubMed
-
- Tenembaum S, Chamoles N, Fejerman N. Acute disseminated encephalomyelitis: a long-term follow-up study of 84 pediatric patients. Neurology. 2002;59:1224–1231. - PubMed
Publication types
LinkOut - more resources
Full Text Sources