The gender-sensitive spectrum of neurodevelopmental disorders: a case report on a ZMYM3 variant in a 19-year-old female
- PMID: 40896224
- PMCID: PMC12394530
- DOI: 10.3389/fpsyt.2025.1604523
The gender-sensitive spectrum of neurodevelopmental disorders: a case report on a ZMYM3 variant in a 19-year-old female
Abstract
Background: Neurodevelopmental disorders (NDDs) such as Intellectual Disability, Autism Spectrum Disorder (ASD), and Attention-Deficit/Hyperactivity Disorder (ADHD) impact cognitive, behavioral, and social functions. The Zinc finger MYM-type protein 3, located on the X-chromosome, has been implicated in neurodevelopment, but its effects in females remain poorly understood due to limited research.
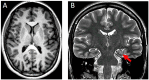
Case presentation: We report a 19-year-old female with a de novo heterozygous variant in ZMYM3 (NM_201599.3:c.1927C>G, p.(His643Asp)), presenting with ADHD symptoms, poor motor coordination, and mild cognitive impairments. Although her language development was normal, she exhibited motor delays, learning and social difficulties, leading to anxiety and academic struggles. Neuropsychological assessment revealed an IQ of 85, with significant deficits in working memory and visuospatial reasoning but relative strengths in verbal comprehension. Brain MRI showed an incomplete left-sided hippocampal inversion. Genetic analysis confirmed the presence of the ZMYM3.
Discussion and conclusion: This case contributes to the limited literature on ZMYM3-related NDDs in females, highlighting potential variability in phenotypic expression due to X-inactivation and penetrance effects. The patient's symptoms emphasize how ADHD and other neurodevelopmental traits may manifest differently in females, often with more subtle and internalized features. Our findings underscore the importance of sex-specific research on ZMYM3-associated disorders and the need for comprehensive genetic and neuropsychological assessments to guide diagnosis and intervention in affected individuals.
Keywords: ADHD; ZMYM3 gene; case report; gender differences; genetic testing; neurodevelopmental disorders; neuropsychological assessment.
Copyright © 2025 Cordella, Maitz, Distefano, Lissi, Morellini and Sacco.
Conflict of interest statement
The authors declare that the research was conducted in the absence of any commercial or financial relationships that could be construed as a potential conflict of interest.
Figures


References
-
- Klin A, Jones W, Schultz RT. The neurodevelopmental basis of autism spectrum disorder. Annu Rev Neurosci. (2002) 43:261–85. doi: 10.1146/annurev-neuro-080317-062507 - DOI
-
- National Center for Biotechnology Information (NCBI) . ZMYM3 zinc finger MYM-type containing 3 [Gene ID: 9203]. In NCBI Gene. National Library of Medicine (US) (2025). Available online at: https://www.ncbi.nlm.nih.gov/gene/9203 (Accessed August 12, 2025).
-
- Hiatt SM, Trajkova S, Rossi Sebastiano M, Partridge EC, Abidi FE, Anderson A, et al. Deleterious, protein-altering variants in the transcriptional coregulator ZMYM3 in 27 individuals with a neurodevelopmental delay phenotype. Am J Hum Genet. (2023) 110:215–27. doi: 10.1016/j.ajhg.2022.12.007, PMID: - DOI - PMC - PubMed
Publication types
LinkOut - more resources
Full Text Sources