Skip to main page content
U.S. flag

An official website of the United States government

Dot gov

The .gov means it’s official.
Federal government websites often end in .gov or .mil. Before sharing sensitive information, make sure you’re on a federal government site.

Https

The site is secure.
The https:// ensures that you are connecting to the official website and that any information you provide is encrypted and transmitted securely.

Access keys NCBI Homepage MyNCBI Homepage Main Content Main Navigation
Case Reports
. 2025 Aug 8;17(8):e89654.
doi: 10.7759/cureus.89654. eCollection 2025 Aug.

BCOR::CCNB3 Sarcoma of the Thigh: A Rare Case

Affiliations
Case Reports

BCOR::CCNB3 Sarcoma of the Thigh: A Rare Case

Abdul Moiz Khan et al. Cureus. .

Abstract

BCOR-rearranged sarcoma is a rare mesenchymal tumor and a recognized subtype of undifferentiated small round-cell sarcoma. It shares morphological similarities with other round-cell sarcomas but is distinguished by a unique molecular hallmark that differentiates it from Ewing sarcoma. These tumors primarily arise in bones and soft tissues. This case report details the case of an 11-year-old female who developed swelling on the medial aspect of her right distal thigh. There was no history of trauma, surgery, or fracture. Clinically, the presentation initially suggested osteosarcoma. However, histopathological evaluation confirmed a diagnosis of BCOR-rearranged sarcoma. This case highlights the importance of considering BCOR-rearranged sarcoma in the differential diagnosis of pediatric bone and soft tissue tumors, as its clinical and radiological features can mimic more common malignancies like osteosarcoma. Early recognition and accurate molecular diagnosis are crucial for guiding appropriate treatment.

Keywords: bcor-ccnb3; clinical pathology; ewing-like sarcoma; immunohistochemistry(ihc); sarcoma soft tissue.

PubMed Disclaimer

Conflict of interest statement

Human subjects: Informed consent for treatment and open access publication was obtained or waived by all participants in this study. Conflicts of interest: In compliance with the ICMJE uniform disclosure form, all authors declare the following: Payment/services info: All authors have declared that no financial support was received from any organization for the submitted work. Financial relationships: All authors have declared that they have no financial relationships at present or within the previous three years with any organizations that might have an interest in the submitted work. Other relationships: All authors have declared that there are no other relationships or activities that could appear to have influenced the submitted work.

Figures

Figure 1
Figure 1. Partially circumscribed soft tissue swelling bulge is seen along the medial aspect of the left upper thigh. No soft tissue calcifications are seen.
Figure 2
Figure 2. Axial T2-weighted MRI showing a hyperintense, well-defined mass in the thigh with surrounding edema.
Figure 3
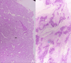
Figure 3. Microscopic images showing clusters of soft epithelioid to spindle cells (black arrow) arranged in nests and cords against a myxoid background (white arrow) (A) and scattered appreciable calcific flakes (blue arrow) (B).
Figure 4
Figure 4. Microscopic images of the tumor showing focal areas of clear cell change seen in some sections (A) and areas of necrosis (blue arrows) and hemorrhages (black arrows) (B).
Figure 5
Figure 5. Microscopic images showing CD99 diffusely positive on immunohistochemistry, favoring Ewing and Ewing-like Sarcomas diagnosis (5A), and NKX2.2 negativity on immunohistochemical staining, ruling out Ewing sarcoma (5B).
Figure 6
Figure 6. Microscopic images showing S-100 negativity (A) and HMB-45 negativity (B) on immunohistochemical staining.
Figure 7
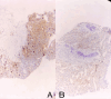
Figure 7. Microscopic images showing Desmin negativity on immunohistochemical stain, ruling out rhabdomyosarcoma (A), and PanCK negativity, ruling out synovial sarcoma (7B).
Figure 8
Figure 8. Microscopic images showing CD56 positivity on immunohistochemical stains, narrowing the differential to Ewing-like sarcomas, i.e., CIC-DUX4 and BCOR-CCNB3 sarcomas (A), and WT1 negativity, ruling out CIC-DUX4 Ewing-like sarcoma (B).
Figure 9
Figure 9. Microscopic images showing Cyclin D1 (A) and BCL2 (9B) positivity on immunohistochemical stain ruling in BCOR-CCNB3 sarcoma diagnosis.

References

    1. BCOR-CCNB3 rearranged sarcoma arising in neck misdiagnosed as thyroid cancer: a case report. Tan LC, Yu PC, Wang J, Zhou XY, Ji QH, Wang YL. Oral Oncol. 2021;120:105290. - PubMed
    1. Diagnostic classification of soft tissue malignancies: a review and update from a surgical pathology perspective. Cloutier JM, Charville GW. Curr Probl Cancer. 2019;43:250–272. - PubMed
    1. Novel BCOR-MAML3 and ZC3H7B-BCOR gene fusions in undifferentiated small blue round cell sarcomas. Specht K, Zhang L, Sung YS, et al. Am J Surg Pathol. 2016;40:433–442. - PMC - PubMed
    1. BCOR-CCNB3 fusion positive sarcomas: a clinicopathologic and molecular analysis of 36 cases with comparison to morphologic spectrum and clinical behavior of other round cell sarcomas. Kao YC, Owosho AA, Sung YS, et al. Am J Surg Pathol. 2018;42:604–615. - PMC - PubMed
    1. Updates on WHO classification for small round cell tumors: Ewing sarcoma vs. everything else. Dehner CA, Lazar AJ, Chrisinger JS. Hum Pathol. 2024;147:101–113. - PubMed

Publication types

LinkOut - more resources