Gastric Metastases From Invasive Breast Lobular Carcinoma, Identified by [18F]FDG PET/CT, 20 Years After Primary Diagnosis: A Case Report
- PMID: 40936680
- PMCID: PMC12420364
- DOI: 10.1002/ccr3.70881
Gastric Metastases From Invasive Breast Lobular Carcinoma, Identified by [18F]FDG PET/CT, 20 Years After Primary Diagnosis: A Case Report
Abstract
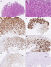
Invasive lobular carcinoma (ILC) of the breast is a rare subtype of breast cancer with distinct metastatic patterns. Although gastrointestinal metastases are rare, they can occur years after initial treatment. This case highlights the diagnostic challenges and management of late-onset gastric metastases. A 68-year-old woman with a history of ILC treated 20 years earlier presented with elevated tumor markers. [18F]fluorodeoxyglucose positron emission tomography/computed tomography (FDG PET/CT) revealed hypermetabolic lesions in the stomach and esophagus in this patient with previously diagnosed gastritis and gastroesophageal reflux disease. Endoscopy and biopsies confirmed the presence of metastatic ILC in the stomach. Adjustment of treatment, including exemestane and everolimus, followed by paclitaxel and tamoxifen, resulted in partial disease control. Late-onset gastrointestinal metastases of ILC are uncommon and require special vigilance, particularly in patients with associated benign gastrointestinal pathologies, which may delay diagnosis. Persistent or new-onset gastrointestinal symptoms in breast cancer patients warrant thorough evaluation, including FDG PET/CT imaging and histological confirmation.
Keywords: PET/CT imaging; case report; gastrointestinal metastases; immunohistochemistry; lobular carcinoma.
© 2025 The Author(s). Clinical Case Reports published by John Wiley & Sons Ltd.
Conflict of interest statement
The authors declare no conflicts of interest.
Figures





References
-
- Ferlay J., Soerjomataram I., Ervik M., et al., GLOBOCAN 2012 v1.0, Cancer Incidence and Mortality Worldwide: IARC Cancer Base No. 11 [Internet] (International Agency for Research on Cancer, 2012).
-
- Sastre‐Garau X., Jouve M., Asselain B., et al., “Infiltrating Lobular Carcinoma of the Breast. Clinicopathologic Analysis of 975 Cases With Reference to Data on Conservative Therapy and Metastatic Patterns,” Cancer 77, no. 1 (1996): 113–120, 10.1002/(SICI)1097-0142(19960101)77:1<113::AID-CNCR19>3.0.CO;2-8. - DOI - PubMed
LinkOut - more resources
Full Text Sources