A Rare Case of Ewing Sarcoma of the Maxilla and a Literature Review of Similar Cases
- PMID: 40978877
- PMCID: PMC12444712
- DOI: 10.7759/cureus.90342
A Rare Case of Ewing Sarcoma of the Maxilla and a Literature Review of Similar Cases
Abstract
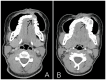
Ewing sarcoma (ES) is a small, round, blue cell malignant neoplasm that rarely occurs in the craniofacial skeleton, with presentation in the maxilla being exceedingly rare. We report the case of a 14-year-old girl with a two-year history of slowly progressive facial swelling that has recently become greatly enlarged. Imaging revealed an aggressive expansile left maxillary lesion with soft-tissue involvement and internal calcifications. Surgical resection was performed, and histopathological analysis showed sheets of homogenous round cells with minimal cytoplasm and round nuclei. Immunohistochemical staining for CD99, CD56, and NKX2.2 was positive, while staining for epithelial, muscle, and neural markers was negative, thereby confirming the diagnosis of ES. This case highlights the diagnostic difficulty of ES in unusual sites such as the maxilla, where it can mimic odontogenic or fibro-osseous lesions. Early diagnosis with histopathology and immunohistochemistry is important for appropriate management, which usually includes surgical resection followed by chemotherapy.
Keywords: anterior maxilla; ewing sarcoma (es); immunohistochemistry staining; pediatric bone tumor; small blue round cell tumor.
Copyright © 2025, Khan et al.
Conflict of interest statement
Human subjects: Informed consent for treatment and open access publication was obtained or waived by all participants in this study. Conflicts of interest: In compliance with the ICMJE uniform disclosure form, all authors declare the following: Payment/services info: All authors have declared that no financial support was received from any organization for the submitted work. Financial relationships: All authors have declared that they have no financial relationships at present or within the previous three years with any organizations that might have an interest in the submitted work. Other relationships: All authors have declared that there are no other relationships or activities that could appear to have influenced the submitted work.
Figures








References
-
- Management and outcome of Ewing sarcoma of the head and neck. Grevener K, Haveman LM, Ranft A, et al. Pediatr Blood Cancer. 2016;63:604–610. - PubMed
Publication types
LinkOut - more resources
Full Text Sources
Research Materials