Stereotactic Gamma Knife Radiosurgery for Merkel cell carcinoma brain metastases: case report and systematic review of literature
- PMID: 40989759
- PMCID: PMC12451376
- DOI: 10.1016/j.bas.2025.104396
Stereotactic Gamma Knife Radiosurgery for Merkel cell carcinoma brain metastases: case report and systematic review of literature
Abstract
Introduction: Merkel cell carcinoma (MCC) is a rare and aggressive neuroendocrine skin malignancy with an increasing incidence. Although it frequently presents with loco-regional metastases, brain metastases (BMs) are exceptionally rare, lacking standardized treatment protocols.
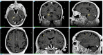
Case description: This report details the case of a 75-year-old male diagnosed with MCC following surgical excision of an inguinal mass, with subsequent adjuvant radiotherapy. Four months post-surgery, imaging revealed a pancreatic nodule and two cerebral lesions. The patient underwent Gamma Knife® stereotactic radiosurgery (GK-SRS) followed by adjuvant immunotherapy with avelumab. MRI follow-ups showed a significant reduction of the cerebellar lesion and full remission of the frontal lesion, with stable remission noted at one year. The patient remained asymptomatic and continued immunotherapy without neurological deficits.
Discussion and conclusion: A systematic review conducted in parallel included 17 papers representing 20 patients with MCC BMs. Treatment strategies varied, including surgery, radiotherapy, and SRS, sometimes combined with immunotherapy. Analysis revealed that SRS provided high rates of local control, highlighting its value as a primary treatment option. Surgical interventions were typically reserved for symptomatic cases or diagnostic uncertainty. Cases involving leptomeningeal spread correlated with poor outcomes, particularly when not coupled with immunotherapy. The results of analysis support the efficacy of SRS in managing MCC brain metastases, recommending its use as a first-line option when feasible. Immunotherapy appears to enhance disease control, especially in preventing leptomeningeal complications. These data suggest to incorporate radiosurgery and immunotherapy into treatment paradigms for improving prognosis in MCC patients with brain metastases.
Keywords: Brain metastasis; Gamma Knife; Merkel cell carcinoma; Radiosurgery.
© 2025 The Authors.
Conflict of interest statement
The authors declare that they have no known competing financial interests or personal relationships that could have appeared to influence the work reported in this paper.
Figures
References
-
- Alexander E., 3rd, Rossitch E.J., Small K., Rosenwasser G.O., Abson P. Merkel cell carcinoma. Long term survival in a patient with proven brain metastasis and presumed choroid metastasis. Clin. Neurol. Neurosurg. 1989;91(4):317–320. - PubMed
-
- Becker J.C., Beer A.J., DeTemple V.K., Eigentler T., Flaig M., Gambichler T., et al. S2k guideline - Merkel cell carcinoma (MCC, neuroendocrine carcinoma of the skin) - update 2022. J der Dtsch Dermatologischen Gesellschaft = J Ger Soc Dermatology JDDG. 2023;21(3):305–320. - PubMed
Publication types
LinkOut - more resources
Full Text Sources
