Nucleus YAP expression as a prognostic biomarker for local recurrence in eyelid sebaceous carcinoma
- PMID: 41006639
- PMCID: PMC12475447
- DOI: 10.1038/s41598-025-18274-6
Nucleus YAP expression as a prognostic biomarker for local recurrence in eyelid sebaceous carcinoma
Abstract
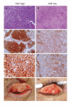
Eyelid sebaceous carcinoma (SbC) is a rare malignancy characterized by potentially aggressive behavior and a high local recurrence rate. This study aims to investigate the expression of nuclear YAP and its clinicopathological correlation in eyelid SbC. In the patients with eyelid SbC who had available tumor specimens, nuclear YAP and androgen receptor (AR) expression were assessed using immunohistochemistry staining, quantified by histochemical scoring (H-score). The primary outcome was local recurrence-free survival (LRFS). Additionally, distant recurrence-free survival, recurrence-free survival, and overall survival were evaluated. Among 47 patients, local recurrence occurred in 10 cases (21.3%), and distant recurrence was observed in 4 cases (8.5%) over a median follow-up period of 39.5 months. All local recurrence events were observed in the low nuclear YAP group (H-score ≤ 90), with a 5-year LRFS of 66.2% among 36 patients. Additionally, lower AR expression (H-score ≤ 50) was linked to a decreased 5-year LRFS of 59.4%, compared to 82.6% in the high AR expression group (Hazard ratio, 3.43; 95% CI, 0.96-12.20; p = 0.043). Lower nuclear YAP and AR expression appear to be associated with high local recurrence rates. Nuclear YAP expression may serve as a promising biomarker for prognosticating local recurrence in eyelid SbC.
Keywords: Androgen receptor; Eyelid sebaceous carcinoma; Immunohistochemistry; Local recurrence; Nuclear YAP.
© 2025. The Author(s).
Conflict of interest statement
Declarations. Competing interests: The authors declare no competing interests.
Figures





References
-
- Nelson, B. R., Hamlet, K. R., Gillard, M., Railan, D. & Johnson, T. M. Sebaceous carcinoma. J. Am. Acad. Dermatol.33, 1–15. 10.1016/0190-9622(95)90001-2 (1995). - PubMed
-
- Dasgupta, T., Wilson, L. D. & Yu, J. B. A retrospective review of 1349 cases of sebaceous carcinoma. Cancer115, 158–165. 10.1002/cncr.23952 (2009). - PubMed
-
- Sa, H. S., Tetzlaff, M. T. & Esmaeli, B. Predictors of local recurrence for eyelid sebaceous carcinoma: Questionable value of routine conjunctival map biopsies for detection of pagetoid spread. Ophthalmic Plast. Reconstr. Surg.35, 419–425. 10.1097/iop.0000000000001343 (2019). - PubMed
-
- Zhang, P. et al. An immunohistochemical study of epidermal growth factor receptor in sebaceous carcinoma of the eyelid: A potential therapeutic target. Ophthalmic Plast. Reconstr. Surg.38, 377–380. 10.1097/iop.0000000000002126 (2022). - PubMed
-
- Mulay, K., Shah, S. J., Aggarwal, E., White, V. A. & Honavar, S. G. Periocular sebaceous gland carcinoma: Do androgen receptor (NR3C4) and nuclear survivin (BIRC5) have a prognostic significance? Acta Ophthalmol.92, e681–687. 10.1111/aos.12466 (2014). - PubMed
MeSH terms
Substances
Grants and funding
LinkOut - more resources
Full Text Sources
Research Materials