Changes in hemorrhage pattern on consecutive non-contrast CT scans in non-aneurysmal subarachnoid hemorrhage patients
- PMID: 41018748
- PMCID: PMC12466301
- DOI: 10.1016/j.bas.2025.105603
Changes in hemorrhage pattern on consecutive non-contrast CT scans in non-aneurysmal subarachnoid hemorrhage patients
Abstract
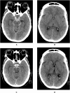
Introduction: The diagnosis perimesencephalic subarachnoid hemorrhage (PMSAH) is based on a specific distribution pattern within 72 h after ictus. However solid evidence is lacking for this time window with the potential risk that blood distribution can change over time, with implications for the management of these patients.
Research question: To study cisternal and intraventricular blood pattern changes on initial and follow-up non-contrast CT scans (NCCTs) during the first 72 h.
Materials and methods: This retrospective study included consecutive PMSAH and non-perimesencephalic (NPSAH) patients in whom at least two NCCTs were performed within the first 72 h. Presence and changes in the distribution of cisternal and intraventricular blood was independently assessed by three observers.
Results: 135 patients (62 PMSAH and 73 NPSAH) were included. The distribution of SAH remained unchanged within the first 72-h in 63 (47 %) patients (PMSAH: 38 (61 %), NPSAH: 25 (39 %))(p < 0.01). An increase in SAH distribution from 0 to 6 h was seen in 7/47 PMSAH (15 %) versus 24/47 (51 %) in NPSAH patients (p < 0.01). A decrease in SAH distribution from 0 to 6 h was seen in 6/47 (13 %) PMSAH patients versus 2/47 (4 %) NPSAH patients (p < 0.01). Between 6 and 24 h, a 72 % decrease (10/14) was only seen in NPSAH patients. The diagnosis PMSAH never changed to NPSAH or vice versa due to SAH redistribution.
Discussion and conclusion: Within the first 72 h after ictus, redistribution of cisternal and intraventricular blood is seen more often in NPSAH than in PMSAH patients but did not change the specific diagnosis.
Keywords: Non contrast CT; Perimesencephalic hemorrhage; Subarachnoid hemorrhage.
© 2025 The Authors.
Conflict of interest statement
The Author(s) declare(s) that there is no conflict of interest.
Figures
 
              
              
              
              
                
                
                References
- 
    - Al-Mufti F., Merkler A.E., Boehme A.K., Dancour E., May T., Schmidt J.M., et al. Functional outcomes and delayed cerebral ischemia following nonperimesencephalic angiogram-negative subarachnoid hemorrhage similar to aneurysmal subarachnoid hemorrhage. Neurosurgery. 2018;82(3):359–364. - PubMed
 
- 
    - Atchie B., McGraw C., McCarthy K., van Vliet R., Frei D., Bennett A., et al. Comparing outcomes of patients with idiopathic subarachnoid hemorrhage by stratifying perimesencephalic bleeding patterns. J. Stroke Cerebrovasc. Dis. 2019;28(9):2407–2413. - PubMed
 
- 
    - Benomar A., Diestro J.D.B., Darabid H., Saydy K., Tzaneva L., Li J., et al. Nonaneurysmal perimesencephalic subarachnoid hemorrhage on noncontrast head CT: an accuracy, inter-rater, and intra-rater reliability study. J. Neuroradiol. 2024 - PubMed
 
- 
    - Granja M.F., Monteiro A., Agnoletto G.J., Jamal S., Sauvageau E., Aghaebrahim A., Hanel R. A systematic review of non-trunk basilar perforator aneurysms: is it worth chasing the small fish? J. Neurointerventional Surg. 2020;12(4):412–416. - PubMed
 
LinkOut - more resources
- Full Text Sources
 
        