Complications and expected imaging findings after endoscopic retrograde cholangiopancreatography
- PMID: 41025062
- PMCID: PMC12476729
- DOI: 10.4329/wjr.v17.i9.110214
Complications and expected imaging findings after endoscopic retrograde cholangiopancreatography
Abstract
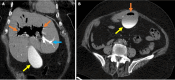
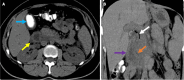
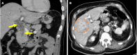
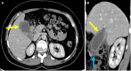
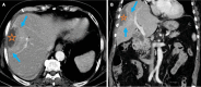
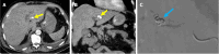
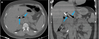
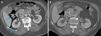
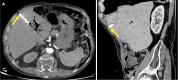
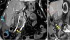
Endoscopic retrograde cholangiopancreatography (ERCP) is a cornerstone procedure for the diagnosis and management of pancreatic and hepatobiliary diseases. Although its diagnostic role has been increasingly supplanted by noninvasive imaging modalities such as magnetic resonance imaging (MRI) and magnetic resonance cholangiopancreatography, the therapeutic applications of ERCP have continued to expand. ERCP is widely used and has a generally favorable safety profile. However, it is important to recognize expected post-procedural imaging findings and serious complications that can arise. The increasing complexity of therapeutic interventions and the growing volume of procedures have led to a higher incidence of complications that often present with overlapping clinical and laboratory features, underscoring the critical role of imaging in differential diagnosis. This review focused on the typical normal ERCP findings and the imaging characteristics of common complications, including pancreatitis, bleeding, ERCP-related infections, perforations, and stent-related complications. Computed tomography (CT) is particularly valuable in timely recognition, management, and surgical decision-making for these complications. Furthermore, MRI offers a radiation-free alternative for managing complications in selected patients. Therefore, radiological modalities, particularly CT and MRI, are critical tools for the rapid diagnosis, management, and surgical decision-making processes for post-ERCP complications.
Keywords: Computed tomography; Endoscopic retrograde cholangiopancreatography; Hepatobiliary diseases; Magnetic resonance imaging; Medical imaging; Pancreatitis; Post-endoscopic retrograde cholangiopancreatography complications.
©The Author(s) 2025. Published by Baishideng Publishing Group Inc. All rights reserved.
Conflict of interest statement
Conflict-of-interest statement: The authors declare no conflicts of interest.
Figures




















References
-
- Kawai K, Akasaka Y, Murakami K, Tada M, Koli Y. Endoscopic sphincterotomy of the ampulla of Vater. Gastrointest Endosc. 1974;20:148–151. - PubMed
-
- Demling L, Koch H, Classen M, Belohlavek D, Schaffner O, Schwamberger K, Stolte M. [Endoscopic papillotomy and removal of gall-stones: animal experiments and first clinical results (author's transl)] Dtsch Med Wochenschr. 1974;99:2255–2257. - PubMed
-
- ASGE Standards of Practice Committee. Chathadi KV, Chandrasekhara V, Acosta RD, Decker GA, Early DS, Eloubeidi MA, Evans JA, Faulx AL, Fanelli RD, Fisher DA, Foley K, Fonkalsrud L, Hwang JH, Jue TL, Khashab MA, Lightdale JR, Muthusamy VR, Pasha SF, Saltzman JR, Sharaf R, Shaukat A, Shergill AK, Wang A, Cash BD, DeWitt JM. The role of ERCP in benign diseases of the biliary tract. Gastrointest Endosc. 2015;81:795–803. - PubMed
Publication types
LinkOut - more resources
Full Text Sources