The Curious Case of Confounding Headaches
- PMID: 41049766
- PMCID: PMC12496153
- DOI: 10.1155/crrh/2146010
The Curious Case of Confounding Headaches
Abstract
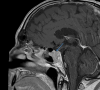
Giant cell arteritis is the most common primary systemic vasculitis among individuals over 50 years of age. It primarily affects large- and medium-size arteries and is not mediated by antibodies. One of the most recognizable and important symptoms of the disease is headache. The presence of headaches, along with other common cranial manifestations such as vision loss, jaw claudication, and scalp tenderness in the temporal arteries, can assist in diagnosing the condition. We present a complex case involving a 76-year-old male with prolonged headaches, a pituitary macroadenoma, and vestibular schwannoma. Initially, his headaches were attributed to his existing intracranial lesions; however, his symptoms continued to evolve. He continued to have headaches of varying intensity over 2 years, and subsequently developed diffuse scalp tenderness, visual disturbances, and tongue claudication. Input from various medical specialties expanded the differential diagnosis and raised the possibility of giant cell arteritis (GCA). Although the temporal artery biopsy did not reveal the classic giant cells typically associated with the condition, it supported the clinical diagnosis of GCA. Appropriate treatment with high-dose corticosteroids and anti-Interleukin 6 therapy resulted in the rapid resolution of his symptoms. This case emphasizes the importance of recognizing different types of headaches, maintaining a broad differential diagnosis, and thoroughly evaluating all clinical symptoms for timely diagnosis and treatment. It also highlights the significance of a multidisciplinary approach to ensure prompt diagnosis and to prevent irreversible complications, such as permanent vision loss.
Copyright © 2025 Ram Chandra Khatri Chhetri et al. Case Reports in Rheumatology published by John Wiley & Sons Ltd.
Conflict of interest statement
The authors declare no conflicts of interest.
Figures
References
Publication types
LinkOut - more resources
Full Text Sources
