Skip to main page content
U.S. flag

An official website of the United States government

Dot gov

The .gov means it’s official.
Federal government websites often end in .gov or .mil. Before sharing sensitive information, make sure you’re on a federal government site.

Https

The site is secure.
The https:// ensures that you are connecting to the official website and that any information you provide is encrypted and transmitted securely.

Access keys NCBI Homepage MyNCBI Homepage Main Content Main Navigation
Case Reports
. 2025 Sep 2;17(9):e91464.
doi: 10.7759/cureus.91464. eCollection 2025 Sep.

Immune Checkpoint Inhibitor-Induced Subacute Myocarditis

Affiliations
Case Reports

Immune Checkpoint Inhibitor-Induced Subacute Myocarditis

Taysir Al Janabi et al. Cureus. .

Abstract

Immune checkpoint inhibitors (ICIs) are a novel class of drugs that direct the immune system to destroy cancer cells, thereby significantly improving patient survival rates. ICI-induced myocarditis, though uncommon, is the most severe side effect associated with these treatments because of its high mortality rate. We report the case of an 81-year-old man with a medical history significant for non-small cell lung cancer who had previously undergone chemoradiotherapy and was receiving the ICI durvalumab. He presented with progressive shortness of breath, and his clinical picture was complicated by pneumonia. His laboratory workup showed evidence of acute kidney injury, elevated liver enzymes, and volume overload. His echocardiogram showed evidence of systolic dysfunction. Cardiac magnetic resonance imaging (MRI) confirmed the diagnosis of subacute myocarditis, likely caused by the ICI. The main presenting symptoms of ICI-induced subacute myocarditis are arrhythmia and heart failure based on the time interval from the initiation of ICI treatment to the onset of symptoms. Our case could have easily been misdiagnosed as a type 2 myocardial infarction because of the patient's pneumonia. Cardiac MRI was the diagnostic tool for the diagnosis of ICI-induced subacute myocarditis in our case. Myocarditis should be considered in patients receiving ICIs, particularly those undergoing combination therapy, because it can be misdiagnosed as a type 2 myocardial infarction.

Keywords: cardiotoxicity; ici; immune checkpoint inhibitors; immune-related adverse events; myocarditis.

PubMed Disclaimer

Conflict of interest statement

Human subjects: Informed consent for treatment and open access publication was obtained or waived by all participants in this study. Conflicts of interest: In compliance with the ICMJE uniform disclosure form, all authors declare the following: Payment/services info: All authors have declared that no financial support was received from any organization for the submitted work. Financial relationships: All authors have declared that they have no financial relationships at present or within the previous three years with any organizations that might have an interest in the submitted work. Other relationships: All authors have declared that there are no other relationships or activities that could appear to have influenced the submitted work.

Figures

Figure 1
Figure 1. Electrocardiogram upon presentation showing atrial fibrillation.
Figure 2
Figure 2. Chest X-ray showing cardiomegaly and pulmonary edema.
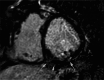
Figure 3
Figure 3. Cardiac MRI showing dense patchy enhancement was noted within the mid inferoseptum near the insertion point of the RV along with scattered areas of subepicardial enhancement within the mid inferior and mid inferolateral walls.
MRI: Magnetic resonance imaging, RV: Right ventricle

References

    1. Expansion of pathogenic cardiac macrophages in immune checkpoint inhibitor myocarditis. Ma P, Liu J, Qin J, et al. Circulation. 2024;149:48–66. - PMC - PubMed
    1. Rheumatic complications of immune checkpoint inhibitors. Ghosh N, Bass AR. https://doi.org/10.1016/j.rdc.2022.02.002. Rheum Dis Clin North Am. 2022;48:411–428. - PubMed
    1. Immune checkpoint inhibitors-related myocarditis: a review of reported clinical cases. Zotova L. Diagnostics (Basel) 2023;13 - PMC - PubMed
    1. Myocarditis in patients treated with immune checkpoint inhibitors. Mahmood SS, Fradley MG, Cohen JV, et al. J Am Coll Cardiol. 2018;71:1755–1764. - PMC - PubMed
    1. Identification of pathogenic immune cell subsets associated with checkpoint inhibitor-induced myocarditis. Zhu H, Galdos FX, Lee D, et al. Circulation. 2022;146:316–335. - PMC - PubMed

Publication types

LinkOut - more resources