Management and monitoring strategies for severe cerebral malaria: a guide for the intensivist
- PMID: 41060528
- PMCID: PMC12508328
- DOI: 10.1186/s13613-025-01584-3
Management and monitoring strategies for severe cerebral malaria: a guide for the intensivist
Abstract
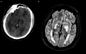
Severe malaria, caused by Plasmodium falciparum, poses a critical public health challenge, with cerebral malaria (CM) representing its most severe and life-threatening neurological manifestation. Defined by impaired consciousness (Glasgow Coma Score < 11) after the exclusion of other causes of encephalopathy, CM remains a critical condition with a mortality rate of 15-25% and long-term neurological sequelae in survivors. CM pathogenesis involves parasitized erythrocyte sequestration in cerebral microvasculature, immune hyperactivation, blood-brain barrier disruption, and cerebral edema, potentially leading to elevated intracranial pressure (ICP) and cerebral ischemia. These processes culminate in severe neurological injury, emphasizing the importance of ICP management in minimizing secondary brain damage. Neuromonitoring (NM) strategies, including invasive and non-invasive techniques, are critical yet underutilized in adults with CM due to limited evidence and logistical challenges. Treatment relies on antimalarial therapy, with intravenous artesunate as the first-line drug, supported by targeted interventions to manage seizures and systemic complications. Adjunctive therapies remain experimental, with no proven benefit in routine care. Emerging evidence from pediatric studies offers valuable insights, though significant gaps in adult-focused research persist. This review, which examines severe CM pathophysiology, clinical manifestations, and management, focusing on adult populations, underscores the need for tailored NM approaches, protocolized management strategies, and further investigation to improve outcomes in adults with CM, advocating for a multidisciplinary approach within the intensive care setting.
Keywords: Adjuvant; Anticonvulsants; Artesunate; Biomarkers; Blood-brain barrier; Cerebral; Chemotherapy; Critical care; Electroencephalography; Intracranial hypertension; Malaria; Seizures.
© 2025. The Author(s).
Conflict of interest statement
Declarations. Ethics approval and consent to participate: Not applicable. Consent for publication: Not applicable. Competing interests: None to declare.
Figures




References
-
- WHO. World malaria report 2022. World Health Organ. 2021. 2013–5 p.
-
- Balaji S, Deshmukh R, Trivedi V. Severe malaria: biology, clinical manifestation, pathogenesis and consequences. J Vector Borne Dis. 2020;57(1):1–13. - PubMed
-
- White NJ, Pukrittayakamee S, Hien TT, Faiz MA, Mokuolu OA, Dondorp AM. Malar Lancet. 2014;383(9918):723–35. - PubMed
-
- Malaria. [cited 2023 Sep 12]. Available from: https://www.who.int/news-room/fact-sheets/detail/malaria
Publication types
LinkOut - more resources
Full Text Sources