Skip to main page content
U.S. flag

An official website of the United States government

Dot gov

The .gov means it’s official.
Federal government websites often end in .gov or .mil. Before sharing sensitive information, make sure you’re on a federal government site.

Https

The site is secure.
The https:// ensures that you are connecting to the official website and that any information you provide is encrypted and transmitted securely.

Access keys NCBI Homepage MyNCBI Homepage Main Content Main Navigation
Case Reports
. 2025 May 22:11:1613.
doi: 10.22034/cmm.2025.345248.1613. eCollection 2025.

A case report of disseminated histoplasmosis not responding to primary treatment by itraconazole

Affiliations
Case Reports

A case report of disseminated histoplasmosis not responding to primary treatment by itraconazole

Prashant Gupta et al. Curr Med Mycol. .

Abstract

Background and purpose: Histoplasmosis, caused by Histoplasma capsulatum, typically presents as a pulmonary infection but can disseminate, with oral lesions being common among immunocompromised individuals. However, this is rare among immunocompetent patients. Preferred treatments include itraconazole for mild cases and liposomal amphotericin B for severe forms.

Case presentation: This study aimed to report a 28-year-old female who developed disseminated histoplasmosis following a right oroantral fistula after dental surgery. It was initially misdiagnosed as Actinomycosis; however, a positive urinary Histoplasma antigen test confirmed histoplasmosis. Despite itraconazole therapy (200 mg twice daily, later increased to 600 mg), her condition continued to deteriorate, with disease progression seen on imaging. Switching to six weeks of intravenous liposomal amphotericin B led to marked improvement, resolution of lung nodules, and negative antigen testing. She was discharged with a 12-month course of itraconazole therapy.

Conclusion: This case highlights the importance of timely recognition and adjustment of treatment in non-severe histoplasmosis, particularly for patients who do not respond adequately to itraconazole therapy.

Keywords: Dimorphic fungus; Disseminated histoplasmosis; Itraconazole; Liposomal amphotericin B; Urinary Histoplasma antigen.

PubMed Disclaimer

Conflict of interest statement

Authors of this study declare no financial conflicts of interest in relation to this study.

Figures

Figure 1
Figure 1
Weekly Histoplasma urine antigen values
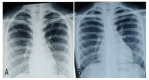
Figure 2
Figure 2
X-ray posteroanterior view before (A) and after (B) starting liposomal amphotericin B therapy
Figure 3
Figure 3
X-ray of paranasal sinuses before (A) and after (B) starting liposomal amphotericin B therapy

References

    1. Vidyanath S, Shameena PM, Sudha S, Nair RG. Disseminated histoplasmosis with oral and cutaneous manifestations. J Oral Maxillofac Pathol. 2013;17(1):139–42. - PMC - PubMed
    1. Ferreira OG, Cardoso SV, Borges AS, Ferreira MS, Loyola AM. Oral histoplasmosis in Brazil. Oral Surg Oral Med Oral Pathol Oral Radiol Endod. 2002;93(6):654–9. - PubMed
    1. Loscalzo J, Fauci A, Kasper D, Hauser S, Longo D, Jameson J. Harrison's Principles of Internal Medicine, 21e. McGraw-Hill Education;14,2024
    1. Wheat LJ, Freifeld AG, Kleiman MB, Baddley JW, McKinsey DS, Loyd JE, et al. Clinical practice guidelines for the management of patients with histoplasmosis: 2007 update by the Infectious Diseases Society of America. Clin Infect Dis. 2007:807–25. - PubMed
    1. Kauffman CA. Histoplasmosis: a clinical and laboratory update. Clin Microbiol Rev. 2007;20(1):115–32. - PMC - PubMed

Publication types

LinkOut - more resources