Skip to main page content
U.S. flag

An official website of the United States government

Dot gov

The .gov means it’s official.
Federal government websites often end in .gov or .mil. Before sharing sensitive information, make sure you’re on a federal government site.

Https

The site is secure.
The https:// ensures that you are connecting to the official website and that any information you provide is encrypted and transmitted securely.

Access keys NCBI Homepage MyNCBI Homepage Main Content Main Navigation
. 2025 Nov 25;105(10):e214318.
doi: 10.1212/WNL.0000000000214318. Epub 2025 Oct 27.

Association of Increased Central Arterial Stiffness With BBB Disruption in Patients With Reversible Cerebral Vasoconstriction Syndrome

Affiliations

Association of Increased Central Arterial Stiffness With BBB Disruption in Patients With Reversible Cerebral Vasoconstriction Syndrome

Yu-Hsiang Ling et al. Neurology. .

Abstract

Background and objectives: Blood-brain barrier (BBB) disruption was found to be critical in the pathogenesis of reversible cerebral vasoconstriction syndrome (RCVS). We hypothesized that increased central arterial stiffness, resulting in the excessive transmission of central pulsatile flow to the dysregulated cerebral microcirculation, may contribute to the disruption of BBB.

Methods: This is a cross-sectional study. Participants with RCVS in the acute phase were recruited from both outpatient and inpatient settings between January 2018 and September 2020. The diagnosis was established based on clinical presentations and neuroradiologic evidence. Age-matched and sex-matched healthy controls (HCs) were recruited from nearby communities. Patients with RCVS were recruited and underwent 3-dimensional isotropic contrast-enhanced T2 fluid-attenuated inversion recovery imaging to visualize BBB disruption. The central arterial stiffness was assessed with hemodynamic parameters such as carotid-femoral pulse wave velocity (cfPWV), carotid augmentation index (cAI), and central blood pressure (ceBP). Arterial stiffness was compared between patients with RCVS and HCs, and between patients with RCVS with and without BBB disruption.

Results: Sixty-five patients with RCVS (mean age 44.3 ± 9.6 years; 42 women) and 65 HCs (mean age 45.4 ± 8.9 years; 42 women) completed the study. Among the patients with RCVS, 33 exhibited imaging-proven BBB disruption. Those with BBB disruption were older (48.3 ± 9.2 vs 40.2 ± 8.3 years, p < 0.001) and had a higher proportion of women (81.8% vs 46.9%, p = 0.003). Arterial stiffness was increased in patients with RCVS, as indicated by a higher cfPWV compared with controls (10.8 ± 2.5 m/s vs 9.2 ± 2.3 m/s, p < 0.001). Among patients with RCVS, those with BBB disruption had greater central arterial stiffness, reflected by higher cfPWV and cAI (11.4 ± 2.7 m/s vs 10.1 ± 2.1 m/s, p = 0.036; 15 ± 18% vs 2 ± 19%, p = 0.007). There were no significant differences in ceBP between patients with RCVS (regardless of BBB disruption) and HCs.

Discussion: Our study confirmed increased central arterial stiffness in patients with RCVS, especially among those with BBB disruption. These findings suggest a potential contribution of central arterial stiffness and excessive pulsatile flow to cerebral microvascular dysfunction in the pathogenesis of RCVS.

PubMed Disclaimer

Conflict of interest statement

Y.-H. Ling received funding from Taipei Veterans General Hospital (V114A-002) and Vivian W. Yen Neurological Foundation. S.-J. Wang received funding from the Brain Research Center, National Yang Ming Chiao Tung University from The Featured Areas Research Center Program within the framework of the Higher Education Sprout Project by the Ministry of Education (MOE) in Taiwan; the National Science and Technology Council, Taiwan (NSTC 110-2321-B-010-005, 111-2314-B-A49-090-MY3, 112-2321-B-075-007, 113-2321-B-A49-017, and 113-2811-B-A49A-012); and Taipei Veterans General Hospital (V113C-120 and V113E004-1). S.-P. Chen received funding from the Brain Research Center, National Yang Ming Chiao Tung University from The Featured Areas Research Center Program within the framework of the Higher Education Sprout Project by the Ministry of Education (MOE) in Taiwan and the National Science and Technology Council, Taiwan (NSTC 110-2326-B-A49A-501-MY3 and 112-2314-B-A49-037-MY3), and Taipei Veterans General Hospital (V112D67-001-MY3-2 & V113C-058). All other authors report no disclosures relevant to the manuscript. Go to Neurology.org/N for full disclosures.

Figures

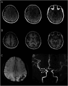
Figure 1
Figure 1. Visualization of Blood-Brain Barrier Disruption in a Patient With Reversible Cerebral Vasoconstriction Syndrome
(A) Diffuse contrast medium extravasation was demonstrated by 3-dimensional contrast-enhanced T2-weighted fluid-attenuated inversion recovery images, suggesting blood-brain barrier disruption. (B) T1-weighted images showed no abnormal signals within the cortical sulci. (C) This patient was complicated by convexity subarachnoid hemorrhage, as shown by susceptibility-weighted angiography images. (D) Magnetic resonance angiography revealed long-segmental (white arrowheads) and focal (black arrowheads) vasoconstrictions.
Figure 2
Figure 2. Measurement of Central Arterial Stiffness
The pressure waveform was measured noninvasively with tonometry while electrocardiography was recorded simultaneously. cfPWV is defined as the distance between the right carotid and right femoral arteries divided by the pulse transit time between the 2 points. cAI was defined as the ratio of augmentation pressure to pulse pressure while the inflection point was identified by finding the zero-crossing timings of the fourth derivative. ceBP was derived from an ensemble-averaged carotid artery pressure waveform calibrated with brachial blood pressures. cAI = carotid augmentation index; ceBP = central blood pressure; cfPWV = carotid-femoral pulse wave velocity; ℓ = distance between carotid and femoral arteries; PTT = pulse transit time.

References

    1. Ducros A, Boukobza M, Porcher R, Sarov M, Valade D, Bousser MG. The clinical and radiological spectrum of reversible cerebral vasoconstriction syndrome. A prospective series of 67 patients. Brain. 2007;130(pt 12):3091-3101. doi: 10.1093/brain/awm256 - DOI - PubMed
    1. Singhal A, Caviness V, Begleiter A, Mark E, Rordorf G, Koroshetz W. Cerebral vasoconstriction and stroke after use of serotonergic drugs. Neurology. 2002;58(1):130-133. doi: 10.1212/wnl.58.1.130 - DOI - PubMed
    1. Ducros A, Wolff V. The typical thunderclap headache of reversible cerebral vasoconstriction syndrome and its various triggers. Headache. 2016;56(4):657-673. doi: 10.1111/head.12797 - DOI - PubMed
    1. Singhal AB, Hajj-Ali RA, Topcuoglu MA, et al. Reversible cerebral vasoconstriction syndromes: analysis of 139 cases. Arch Neurol. 2011;68(8):1005-1012. doi: 10.1001/archneurol.2011.68 - DOI - PubMed
    1. Mawet J, Boukobza M, Franc J, et al. Reversible cerebral vasoconstriction syndrome and cervical artery dissection in 20 patients. Neurology. 2013;81(9):821-824. doi: 10.1212/WNL.0b013e3182a2cbe2 - DOI - PubMed

LinkOut - more resources