Skip to main page content
U.S. flag

An official website of the United States government

Dot gov

The .gov means it’s official.
Federal government websites often end in .gov or .mil. Before sharing sensitive information, make sure you’re on a federal government site.

Https

The site is secure.
The https:// ensures that you are connecting to the official website and that any information you provide is encrypted and transmitted securely.

Access keys NCBI Homepage MyNCBI Homepage Main Content Main Navigation
. 1997 Nov 15;11(22):3007-19.
doi: 10.1101/gad.11.22.3007.

Mechanism of synergy between TATA and initiator: synergistic binding of TFIID following a putative TFIIA-induced isomerization

Affiliations

Mechanism of synergy between TATA and initiator: synergistic binding of TFIID following a putative TFIIA-induced isomerization

K H Emami et al. Genes Dev. .

Abstract

The TFIID complex interacts with at least three types of core promoter elements within protein-coding genes, including TATA, initiator (Inr), and downstream promoter elements. We have begun to explore the mechanism by which the TFIID-Inr interaction leads to functional synergy between TATA and Inr elements during both basal and activated transcription. In DNase I footprinting assays, GAL4-VP16 recruited TFIID-TFIIA to core promoters containing either a TATA box, an Inr, or both TATA and Inr elements, with synergistic interactions apparent on the TATA-Inr promoter. Appropriate spacing between the two elements was essential for the synergistic binding. Despite the sequence-specific TFIID-Inr interactions, gel shift experiments revealed that TFIID alone possesses similar affinities for the TATA-Inr and TATA promoters. Interestingly, however, recombinant TFIIA strongly and selectively enhanced TFIID binding to the TATA-Inr promoter, with little effect on binding to the TATA promoter. Studies of the natural adenovirus major late promoter confirmed these findings, despite the existence of specific but nonfunctional TFIID interactions downstream of the Inr in that promoter. These results suggest that a TFIIA-induced conformational change is essential for the sequence-specific TFIID-Inr interaction to occur with sufficient affinity to support the functional synergism between TATA and Inr elements.

PubMed Disclaimer

Figures

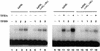
Figure 1
Figure 1
Recruitment of TFIID by GAL4–VP16 to core promoters with distinct architectures. (A) Sequences of the TATA, TATA–Inr, TATA–Inr(+3G), and Inr core promoters. The location of the transcription start site is indicated (arrow). Boldface type denotes the AdML TATA and TdT Inr elements. (B) In vitro transcription reactions were performed in HeLa nuclear extracts with promoters containing multiple GAL4-binding sites upstream of the TATA (lanes 1,2), TATA–Inr (lanes 3,4), TATA–Inr(+3G) (lanes 5,6), and Inr (lanes 7,8) core promoters. Reactions were performed in the absence (lanes 1,3,5,7) or presence (lanes 2,4,6,8) of 600 ng GAL4–VP16. Arrows indicate the locations of the expected 70 (lanes 1,2) and 79 (lanes 3–8) nucleotide cDNA products following primer extension analysis. The TATA product is 9 nucleotides shorter than the other products because the TATA plasmid contains a 9-bp deletion of the Inr element, which reduces the distance from the transcription start site to the primer binding site. (C) DNase I footprinting experiments were performed with probes containing 5 GAL4-binding sites upstream of the TATA–Inr (lanes 1–7), Inr (lanes 8–14), and TATA (lanes 15–21) core promoters. The three probes were prepared simultaneously with the same radiolabeled primer and, therefore, are of the same specific activity. Binding reactions contained no protein or various combinations of purified TFIID (1 μl), purified TFIIA (0.1 μl), and GAL4–VP16 (600 ng), as indicated at the top. The locations of the GAL4-binding sites, TATA, and Inr elements are indicated to the right of each panel. Also indicated is a strong hypersenstive site at nucleotide +5 (arrow) and the protected region observed downstream of the Inr (DS).
Figure 1
Figure 1
Recruitment of TFIID by GAL4–VP16 to core promoters with distinct architectures. (A) Sequences of the TATA, TATA–Inr, TATA–Inr(+3G), and Inr core promoters. The location of the transcription start site is indicated (arrow). Boldface type denotes the AdML TATA and TdT Inr elements. (B) In vitro transcription reactions were performed in HeLa nuclear extracts with promoters containing multiple GAL4-binding sites upstream of the TATA (lanes 1,2), TATA–Inr (lanes 3,4), TATA–Inr(+3G) (lanes 5,6), and Inr (lanes 7,8) core promoters. Reactions were performed in the absence (lanes 1,3,5,7) or presence (lanes 2,4,6,8) of 600 ng GAL4–VP16. Arrows indicate the locations of the expected 70 (lanes 1,2) and 79 (lanes 3–8) nucleotide cDNA products following primer extension analysis. The TATA product is 9 nucleotides shorter than the other products because the TATA plasmid contains a 9-bp deletion of the Inr element, which reduces the distance from the transcription start site to the primer binding site. (C) DNase I footprinting experiments were performed with probes containing 5 GAL4-binding sites upstream of the TATA–Inr (lanes 1–7), Inr (lanes 8–14), and TATA (lanes 15–21) core promoters. The three probes were prepared simultaneously with the same radiolabeled primer and, therefore, are of the same specific activity. Binding reactions contained no protein or various combinations of purified TFIID (1 μl), purified TFIIA (0.1 μl), and GAL4–VP16 (600 ng), as indicated at the top. The locations of the GAL4-binding sites, TATA, and Inr elements are indicated to the right of each panel. Also indicated is a strong hypersenstive site at nucleotide +5 (arrow) and the protected region observed downstream of the Inr (DS).
Figure 2
Figure 2
A single base-pair substitution at nucleotide +3 disrupts TFIID interactions with the Inr and downstream region. DNase I footprinting experiments were performed as described in the legend to Fig. 1 and in Materials and Methods with probes derived from the TATA–Inr (lanes 1–7) and TATA–Inr(+3G) (lanes 8–14) promoters. The protein amounts used in the reactions are the same as indicated in the legend to Fig. 1, and the proteins added are indicated above each lane. The GAL4 sites, the TATA and Inr elements, the hypersensitive site at +5, and the region of downstream protection (DS) are indicated to the right.
Figure 3
Figure 3
Binding of TBP to the TATA–Inr core promoter.DNase I footprinting reactions were performed with a probe containing the TATA–Inr core promoter. Reactions containing purified human TBP (5 μl of a 2 ng/μl solution; lanes 2–6) and 0.5, 1, 2, or 4 μl of a 10 ng/μl solution of TFIIA (lanes 3–6). The locations of the TATA box and Inr element are indicated to the right.
Figure 4
Figure 4
Efficient protection of the Inr and downstream region within the TATA–Inr core promoter depend on a precise spacing between the TATA and Inr elements. DNase I footprinting reactions were performed with probes derived from the promoters containing 5 GAL4-binding sites upstream of TATA and Inr elements separated by variable spacing (indicated above each pair of lanes). The reactions contained either no protein (odd numbered lanes) or GAL4–VP16, TFIID (the TFIID preparation used for this experiment was ∼5 times more concentrated than the preparation used for Figs. 1 and 2), and TFIIA (even numbered lanes), as described in the legend to Fig. 1 and in Materials and Methods. All six probes were prepared by PCR with the same radiolabeled PCR primer to insure that the specific activities of the probes were similar. The left and right panels were from the same experiment and the same polyacrylamide gel. The locations of the GAL4-binding sites, the TATA and Inr elements, the hypersensitive site at +5 and the downstream protection observed in lane 2 (DS) are indicated to the left and right. Also indicated by arrows are the locations of hypersensitive sites observed in lanes 4, 6, and 8.
Figure 5
Figure 5
TFIIA selectively enhances TFIID binding to core promoters containing a functional Inr element as well as a TATA box. (A) Mg2+ agarose EMSAs (Zhou et al. 1992; Lieberman and Berk 1994) were performed with 0 (lanes 1,5,9,13), 1 (lanes 2,6,10,14), 2 (lanes 3,7,11,15), and 3 (lanes 4,8,12,16) μl of purified TFIID. Radiolabeled probes were prepared by PCR from plasmids containing the TATA–Inr (lanes 1–4), TATA (lanes 5–8), Inr (lanes 9–12), and TATA–Inr(+3G) (lanes 13–16) core promoters. All probes were prepared with the same radiolabeled primer, insuring that the probes were of similar specific activity. Complex abundances for lanes 1–16 relative to that in lane 2 (1.0) are 0, 1.0, 3.2, 4.6, 0, 0.8, 3.2, 4.5, 0, 0, 0.2, 0.3, 0, 1.0, 2.7, and 4.5, respectively. (B) Mg2+ agarose EMSAs were performed with the TATA–Inr (lanes 1–5), TATA (lanes 6–10), Inr (lanes 11–15), and TATA–Inr(+3G) (lanes 16–20) probes. Reactions contained 0 (lanes 1,6,11,16), 1 (lanes 2,3,7,8,12,13,17,18), or 2 (lanes 4,5,9,10,14,15,19,20) μl of purified TFIID and either 0 (lanes 1,2,4,6,7,9,11,12,14,16,17,19) or 200 (lanes 3,5,8,10,13,15,18,20) ng TFIIA. Complex abundances for lanes 1–20 relative to that in lane 2 (1.0) are 0, 1, 5.9, 2.7, 12.9, 0, 0.4, 1.3, 1.5, 2.5, 0, 0, 0, 0, 0, 0, 1.0, 3.6, 2.6, and 5.9, respectively. (C) Mg2+ agarose EMSAs were performed as in part B, but with 1 (lanes 2,3,7,8,12,13,17,18) or 2 (lanes 4,5,9,10,14,15,19,20) μl of a 2 ng/μl solution of TBP, and with 10 ng of TFIIA (lanes 3,5,8,10,13,15,18,20). The concentration of TFIIA that was optimal for TBP stabilization (10 ng) was greatly suboptimal for TFIID stabilization (200 ng optimum).
Figure 5
Figure 5
TFIIA selectively enhances TFIID binding to core promoters containing a functional Inr element as well as a TATA box. (A) Mg2+ agarose EMSAs (Zhou et al. 1992; Lieberman and Berk 1994) were performed with 0 (lanes 1,5,9,13), 1 (lanes 2,6,10,14), 2 (lanes 3,7,11,15), and 3 (lanes 4,8,12,16) μl of purified TFIID. Radiolabeled probes were prepared by PCR from plasmids containing the TATA–Inr (lanes 1–4), TATA (lanes 5–8), Inr (lanes 9–12), and TATA–Inr(+3G) (lanes 13–16) core promoters. All probes were prepared with the same radiolabeled primer, insuring that the probes were of similar specific activity. Complex abundances for lanes 1–16 relative to that in lane 2 (1.0) are 0, 1.0, 3.2, 4.6, 0, 0.8, 3.2, 4.5, 0, 0, 0.2, 0.3, 0, 1.0, 2.7, and 4.5, respectively. (B) Mg2+ agarose EMSAs were performed with the TATA–Inr (lanes 1–5), TATA (lanes 6–10), Inr (lanes 11–15), and TATA–Inr(+3G) (lanes 16–20) probes. Reactions contained 0 (lanes 1,6,11,16), 1 (lanes 2,3,7,8,12,13,17,18), or 2 (lanes 4,5,9,10,14,15,19,20) μl of purified TFIID and either 0 (lanes 1,2,4,6,7,9,11,12,14,16,17,19) or 200 (lanes 3,5,8,10,13,15,18,20) ng TFIIA. Complex abundances for lanes 1–20 relative to that in lane 2 (1.0) are 0, 1, 5.9, 2.7, 12.9, 0, 0.4, 1.3, 1.5, 2.5, 0, 0, 0, 0, 0, 0, 1.0, 3.6, 2.6, and 5.9, respectively. (C) Mg2+ agarose EMSAs were performed as in part B, but with 1 (lanes 2,3,7,8,12,13,17,18) or 2 (lanes 4,5,9,10,14,15,19,20) μl of a 2 ng/μl solution of TBP, and with 10 ng of TFIIA (lanes 3,5,8,10,13,15,18,20). The concentration of TFIIA that was optimal for TBP stabilization (10 ng) was greatly suboptimal for TFIID stabilization (200 ng optimum).
Figure 5
Figure 5
TFIIA selectively enhances TFIID binding to core promoters containing a functional Inr element as well as a TATA box. (A) Mg2+ agarose EMSAs (Zhou et al. 1992; Lieberman and Berk 1994) were performed with 0 (lanes 1,5,9,13), 1 (lanes 2,6,10,14), 2 (lanes 3,7,11,15), and 3 (lanes 4,8,12,16) μl of purified TFIID. Radiolabeled probes were prepared by PCR from plasmids containing the TATA–Inr (lanes 1–4), TATA (lanes 5–8), Inr (lanes 9–12), and TATA–Inr(+3G) (lanes 13–16) core promoters. All probes were prepared with the same radiolabeled primer, insuring that the probes were of similar specific activity. Complex abundances for lanes 1–16 relative to that in lane 2 (1.0) are 0, 1.0, 3.2, 4.6, 0, 0.8, 3.2, 4.5, 0, 0, 0.2, 0.3, 0, 1.0, 2.7, and 4.5, respectively. (B) Mg2+ agarose EMSAs were performed with the TATA–Inr (lanes 1–5), TATA (lanes 6–10), Inr (lanes 11–15), and TATA–Inr(+3G) (lanes 16–20) probes. Reactions contained 0 (lanes 1,6,11,16), 1 (lanes 2,3,7,8,12,13,17,18), or 2 (lanes 4,5,9,10,14,15,19,20) μl of purified TFIID and either 0 (lanes 1,2,4,6,7,9,11,12,14,16,17,19) or 200 (lanes 3,5,8,10,13,15,18,20) ng TFIIA. Complex abundances for lanes 1–20 relative to that in lane 2 (1.0) are 0, 1, 5.9, 2.7, 12.9, 0, 0.4, 1.3, 1.5, 2.5, 0, 0, 0, 0, 0, 0, 1.0, 3.6, 2.6, and 5.9, respectively. (C) Mg2+ agarose EMSAs were performed as in part B, but with 1 (lanes 2,3,7,8,12,13,17,18) or 2 (lanes 4,5,9,10,14,15,19,20) μl of a 2 ng/μl solution of TBP, and with 10 ng of TFIIA (lanes 3,5,8,10,13,15,18,20). The concentration of TFIIA that was optimal for TBP stabilization (10 ng) was greatly suboptimal for TFIID stabilization (200 ng optimum).
Figure 6
Figure 6
Analysis of TFIID–TFIIA binding to the natural AdML promoter. (A) DNase I footprinting reactions were performed with probes containing the AdML promoter (lanes 1–3,7–9) and the AdML(+1G,+3G) mutant promoter (lanes 4–6,10–12). Reactions contained no protein (lanes 1,4,7,10), 0.2 (lanes 2,3,5,6) or 0.5 (lanes 9,10,11,12) μl concentrated TFIID, and recombinant TFIIA (0.1 μl, lanes 3,6,9,12). The locations of the TATA and Inr elements, as well as regions of downstream protection (DS) and 4 hypersensitive sites (arrows) are depicted to the right. (B) In vitro transcription reactions were performed in HeLa nuclear extracts with supercoiled plasmids containing the AdML core promoter from −35 to +40 (lane 1; see Materials and Methods), the AdML core promoter containing two substitution mutations (+1G and +3G) within the Inr element (lane 2), the synthetic TATA–Inr core promoter (lane 3) and the synthetic TATA–Inr(+3G) core promoter (lane 4). Plasmid DNA (300 ng) and 100 μg HeLa nuclear extract were used for each reaction. RNA products were analyzed by primer extension, by use of the same radiolabeled SP6 primer to insure that the cDNA products possessed similar specific activities.
Figure 6
Figure 6
Analysis of TFIID–TFIIA binding to the natural AdML promoter. (A) DNase I footprinting reactions were performed with probes containing the AdML promoter (lanes 1–3,7–9) and the AdML(+1G,+3G) mutant promoter (lanes 4–6,10–12). Reactions contained no protein (lanes 1,4,7,10), 0.2 (lanes 2,3,5,6) or 0.5 (lanes 9,10,11,12) μl concentrated TFIID, and recombinant TFIIA (0.1 μl, lanes 3,6,9,12). The locations of the TATA and Inr elements, as well as regions of downstream protection (DS) and 4 hypersensitive sites (arrows) are depicted to the right. (B) In vitro transcription reactions were performed in HeLa nuclear extracts with supercoiled plasmids containing the AdML core promoter from −35 to +40 (lane 1; see Materials and Methods), the AdML core promoter containing two substitution mutations (+1G and +3G) within the Inr element (lane 2), the synthetic TATA–Inr core promoter (lane 3) and the synthetic TATA–Inr(+3G) core promoter (lane 4). Plasmid DNA (300 ng) and 100 μg HeLa nuclear extract were used for each reaction. RNA products were analyzed by primer extension, by use of the same radiolabeled SP6 primer to insure that the cDNA products possessed similar specific activities.
Figure 7
Figure 7
TFIIA selectively enhances TFIID binding to the AdML core promoter containing a functional Inr element. Mg2+ agarose EMSAs were performed with 0 (lanes 1,5,9,14), 1 (lanes 2,6,10,11,15,16), 2 (lanes 3,7,12,13,17, 18), or 3 (lanes 4,8) μl of purified TFIID, and 0 (lanes 1–10,12, 14,15,17) or 200 (lanes 11,13,16,18) ng TFIIA. Radiolabeled probes were prepared by PCR from plasmids containing the AdML (lanes 1–4,9–13) and AdML(+1G, +3G) (lanes 5–8,14–18) core promoters. All probes were prepared with the same radiolabeled primer, insuring that the probes are of similar specific activity. As determined by PhosphorImager analysis, complex abundances in lanes 1–18 relative to the complex abundance in lane 10 (1.0) are 0, 3.2, 10.9, 16.6, 0, 3.1, 6.8, 12.6, 0, 1.0, 8.2, 3.7, 17.2, 0, 1.1, 4.4, 2.6, and 9.4, respectively.

References

    1. Bellorini M, Dantonel JC, Yoon JB, Roeder RG, Tora L, Mantovani R. The major histocompatibility complex class II Ea promoter requires TFIID binding to an initiator sequence. Mol Cell Biol. 1996;16:503–512. - PMC - PubMed
    1. Burke TW, Kadonaga JT. Drosophila TFIID binds to a conserved downstream basal promoter element that is present in many TATA-box-deficient promoters. Genes & Dev. 1996;10:711–724. - PubMed
    1. Burley SK, Roeder RG. Biochemistry and structural biology of transcription factor IID (TFIID) Annu Rev Biochem. 1996;65:769–799. - PubMed
    1. Carey M, Leatherwood J, Ptashne M. A potent GAL4 derivative activates transcription at a distance in vitro. Science. 1990;247:710–712. - PubMed
    1. Chi T, Carey M. Assembly of the isomerized TFIIA–TFIID–TATA ternary complex is necessary and sufficient for gene activation. Genes & Dev. 1996;10:2540–2550. - PubMed

Publication types

Substances

LinkOut - more resources