Two amyloid precursor protein transgenic mouse models with Alzheimer disease-like pathology
- PMID: 9371838
- PMCID: PMC24301
- DOI: 10.1073/pnas.94.24.13287
Two amyloid precursor protein transgenic mouse models with Alzheimer disease-like pathology
Abstract
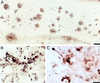
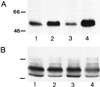
Mutations in the amyloid precursor protein (APP) gene cause early-onset familial Alzheimer disease (AD) by affecting the formation of the amyloid beta (A beta) peptide, the major constituent of AD plaques. We expressed human APP751 containing these mutations in the brains of transgenic mice. Two transgenic mouse lines develop pathological features reminiscent of AD. The degree of pathology depends on expression levels and specific mutations. A 2-fold overexpression of human APP with the Swedish double mutation at positions 670/671 combined with the V717I mutation causes A beta deposition in neocortex and hippocampus of 18-month-old transgenic mice. The deposits are mostly of the diffuse type; however, some congophilic plaques can be detected. In mice with 7-fold overexpression of human APP harboring the Swedish mutation alone, typical plaques appear at 6 months, which increase with age and are Congo Red-positive at first detection. These congophilic plaques are accompanied by neuritic changes and dystrophic cholinergic fibers. Furthermore, inflammatory processes indicated by a massive glial reaction are apparent. Most notably, plaques are immunoreactive for hyperphosphorylated tau, reminiscent of early tau pathology. The immunoreactivity is exclusively found in congophilic senile plaques of both lines. In the higher expressing line, elevated tau phosphorylation can be demonstrated biochemically in 6-month-old animals and increases with age. These mice resemble major features of AD pathology and suggest a central role of A beta in the pathogenesis of the disease.
Figures






References
-
- Probst A, Langui D, Ulrich J. Brain Pathol. 1991;1:229–239. - PubMed
-
- Selkoe D J. Annu Rev Cell Biol. 1994;10:373–403. - PubMed
-
- Yankner B A. Neuron. 1996;16:921–932. - PubMed
-
- Goedert M. Trends Neurosci. 1993;16:460–465. - PubMed
-
- Trojanowski J Q, Schmidt M L, Shin R-W, Bramblett G T, Rao D, Lee V M-Y. Clin Neurosci. 1993;1:184–191.
Publication types
MeSH terms
Substances
LinkOut - more resources
Full Text Sources
Other Literature Sources
Medical
Molecular Biology Databases
Research Materials