Photothermal laser ablation of Barrett's oesophagus: endoscopic and histological evidence of squamous re-epithelialisation
- PMID: 9378378
- PMCID: PMC1891489
- DOI: 10.1136/gut.41.3.281
Photothermal laser ablation of Barrett's oesophagus: endoscopic and histological evidence of squamous re-epithelialisation
Abstract
Background: Barrett's oesophagus is acquired by severe gastro-oesophageal reflux and is a premalignant condition. Acid suppression or anti-reflux surgery alone do not cause significant regression of the metaplastic mucosa nor reduce the malignant potential. Recent reports have suggested that the combination of mucosal ablation with acid suppression may result in squamous regeneration.
Aims: To destroy Barrett's mucosa by thermal ablation (in the setting of acid suppression) and so induce squamous regeneration.
Patients: Sixteen patients with non-dysplastic Barrett's oesophagus were recruited from a surveillance programme. All had been on a proton pump inhibitor.
Methods: At intervals, non-circumferential areas of columnar mucosa were ablated using the KTP laser. Acid suppression was obtained with 40 mg omeprazole daily. Multiple biopsy specimens were obtained for histological examination from ablated areas.
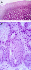
Results: Ablation of all areas of glandular mucosa resulted in squamous regeneration. The number of treatments required depended on the length of the Barrett's segment. In 11 patients there was evidence of squamous regeneration over remaining Barrett's glands (in some of the post-treatment biopsy specimens) whilst in nine patients squamous metaplasia was seen within Barrett's glands.
Conclusion: Mucosal ablation of Barrett's oesophagus by laser, in the setting of acid suppression, results in squamous regeneration (though some burying of Barrett's glands did occur).
Figures


References
MeSH terms
LinkOut - more resources
Full Text Sources
Other Literature Sources