Hypertension, cardiac hypertrophy, and sudden death in mice lacking natriuretic peptide receptor A
- PMID: 9405681
- PMCID: PMC25105
- DOI: 10.1073/pnas.94.26.14730
Hypertension, cardiac hypertrophy, and sudden death in mice lacking natriuretic peptide receptor A
Abstract
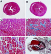
Natriuretic peptides, produced in the heart, bind to the natriuretic peptide receptor A (NPRA) and cause vasodilation and natriuresis important in the regulation of blood pressure. We here report that mice lacking a functional Npr1 gene coding for NPRA have elevated blood pressures and hearts exhibiting marked hypertrophy with interstitial fibrosis resembling that seen in human hypertensive heart disease. Echocardiographic evaluation of the mice demonstrated a compensated state of systemic hypertension in which cardiac hypertrophy and dilatation are evident but with no reduction in ventricular performance. Nevertheless, sudden death, with morphologic evidence indicative in some animals of congestive heart failure and in others of aortic dissection, occurred in all 15 male mice lacking Npr1 before 6 months of age, and in one of 16 females in our study. Thus complete absence of NPRA causes hypertension in mice and leads to cardiac hypertrophy and, particularly in males, lethal vascular events similar to those seen in untreated human hypertensive patients.
Figures




References
-
- Atlas S A, Kleinert H D, Camargo M J, Januszewicz A, Sealey J E, Laragh J H, Schilling J W, Lewicki J A, Johnson L K, Maack T. Nature (London) 1984;309:717–719. - PubMed
-
- Lang R E, Tholken H, Ganten D, Luft F C, Ruskoaho H, Unger T. Nature (London) 1985;314:264–266. - PubMed
-
- Garbers D L, Lowe D G. J Biol Chem. 1994;269:30741–30744. - PubMed
-
- Sagnella G A, MacGregor G A. In: Textbook of Hypertension. Swales J D, editor. Oxford: Blackwell Scientific; 1994. pp. 273–288.
-
- Espiner E A, Richards A M, Yandle T G, Nicholles M G. Endocrinol Metab Clinics N America. 1995;24:481–509. - PubMed
Publication types
MeSH terms
Substances
Grants and funding
LinkOut - more resources
Full Text Sources
Other Literature Sources
Medical
Molecular Biology Databases
Miscellaneous