Unconventional genomic organization in the alpha subgroup of the Proteobacteria
- PMID: 9573163
- PMCID: PMC107230
- DOI: 10.1128/JB.180.10.2749-2755.1998
Unconventional genomic organization in the alpha subgroup of the Proteobacteria
Abstract
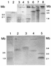
Pulsed-field gel electrophoresis was used to analyze the genomic organization of 16 bacteria belonging or related to the family Rhizobiaceae of the alpha subgroup of the class Proteobacteria. The number and sizes of replicons were determined by separating nondigested DNA. Hybridization of an rrn gene probe was used to distinguish between chromosomes and plasmids. Members of the genus Agrobacterium all possess two chromosomes, and each biovar has a specific genome size. As previously demonstrated for Agrobacterium tumefaciens C58, the smaller chromosomes of Agrobacterium biovar 1 and Agrobacterium rubi strains appear to be linear. The genomes of Rhizobium strains were all of similar sizes but were seen to contain either one, two, or three megareplicons. Only one chromosome was present in the member of the related genus Phyllobacterium. We found one or two chromosomes in Rhodobacter and Brucella species, two chromosomes in Ochrobactrum anthropi, and one chromosome in Mycoplana dimorpha and Bartonella quintana; all of these genera are related to the Rhizobiaceae. The presence of multiple chromosomes is discussed from a phylogenetic and taxonomic point of view.
Figures
References
-
- Alnor D, Frimodt-Moller N, Espersen F, Frederiksen W. Infections with the unusual human pathogens Agrobacterium species and Ochrobactrum anthropi. Clin Infect Dis. 1994;18:914–920. - PubMed
-
- Baril C, Richaud C, Baranton G, Saint Girons I. Linear chromosome of Borrelia burgdorferi. Res Microbiol. 1989;140:507–516. - PubMed
-
- Carlson C R, Kolsto A-B. A small (2.4 Mb) Bacillus cereus chromosome corresponds to a conserved region of a larger (5.3 Mb) Bacillus cereus chromosome. Mol Microbiol. 1994;13:161–169. - PubMed
MeSH terms
Substances
LinkOut - more resources
Full Text Sources
Molecular Biology Databases
Research Materials
