The gamma subunit of the Na,K-ATPase induces cation channel activity
- PMID: 9600999
- PMCID: PMC27846
- DOI: 10.1073/pnas.95.11.6521
The gamma subunit of the Na,K-ATPase induces cation channel activity
Abstract
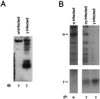
The gamma subunit of the Na,K-ATPase is a hydrophobic protein of approximately 10 kDa. The gamma subunit was expressed in Sf-9 insect cells and Xenopus oocytes to ascertain its role in Na,K-ATPase function. Immunoblotting has shown that the gamma subunit is expressed in Sf-9 cells infected with recombinant baculovirus containing the cDNA for the human gamma subunit. Confocal microscopy demonstrates that the gamma subunit can be delivered to the plasma membrane of Sf-9 cells independently of the other Na,K-ATPase subunits and that gamma colocalizes with alpha1 when these proteins are coexpressed. When Sf-9 cells were coinfected with alpha1 and gamma, antibodies to the gamma subunit were able to coimmunoprecipitate the alpha1 subunit, suggesting that gamma is able to associate with alpha1. The gamma subunit is a member of a family of single-pass transmembrane proteins that induces ion fluxes in Xenopus oocytes. Evidence that the gamma subunit is a functional component was supported by experiments showing gamma-induced cation channel activity when expressed in oocytes and increases in Na+ and K+ uptake when expressed in Sf-9 cells.
Figures
References
-
- Noguchi S, Mishina M, Kawamura M, Numa S. FEBS Lett. 1987;225:27–32. - PubMed
-
- Horowitz B, Eakle K A, Scheiner-Bobis G, Randolph G R, Chen C Y, Hitzeman R A, Farley R A. J Biol Chem. 1991;265:4189–4192. - PubMed
-
- Lingrel J B, Orlowski J, Shull M M, Price E M. Prog Nucleic Acid Res Biol. 1990;38:37–89. - PubMed
-
- Forbush B, III, Kaplan J H, Hoffman J F. Biochemistry. 1978;17:3667–3676. - PubMed
Publication types
MeSH terms
Substances
Grants and funding
LinkOut - more resources
Full Text Sources
Molecular Biology Databases
